Varios investigaciones han empleado previamente metodologías ex vivo, a menudo en combinación con cámaras de Ussing (UC), para evaluar los efectos de las micotoxinas en la mucosa intestinal de diferentes especies animales. Sin embargo, aún no se han publicado datos que evalúen los efectos de una sola micotoxina en animales evaluados tanto in vivo como ex vivo, por lo que se desconoce la correlación entre los resultados obtenidos con estos dos modelos. Por lo tanto, un estudio realizado por investigadores en Brasil tuvo como objetivo evaluar los efectos de la fumonisina B1 (FB1) en la morfología yeyunal de cerdos mediante un nuevo modelo ex vivo, realizado en paralelo con un ensayo in vivo.
El trabajo se realizó para evaluar los efectos de la fumonisina B1 (FB1) en el yeyuno de cerdos mediante un nuevo modelo ex vivo, realizado en paralelo con un ensayo in vivo.
Para el modelo in vivo, doce cerdos machos de 28 a 70 días de edad se sometieron a dos tratamientos de seis animales cada uno: el grupo control, alimentado con una dieta basal (BD), y el grupo FB1, alimentado con BD + 50 mg/kg de FB1. A los 70 días, los animales fueron sacrificados y se tomó una muestra de yeyuno de cada cerdo para análisis histopatológicos adicionales. Otros cuatro cerdos machos del tratamiento control in vivo fueron sacrificados a los 70 días para el modelo ex vivo.
Se recogieron cuatro explantos yeyunales de cada cerdo, totalizando 16 explantos intestinales, que se sometieron a dos tratamientos, con 8 explantos cada uno, utilizando un sistema de Cámara de Ussing (UC): el grupo control, sometido a solución tampón (SB), y el grupo FB1, sometido a SB + 50 mg/L de FB1.
Se analizaron muestras de modelos in vivo y ex vivo para parámetros histopatológicos y evaluaciones intestinales subjetivas.
El grupo FB1 presentó menor (P < 0,05) altura de vellosidades que el grupo control, tanto in vivo como ex vivo. También se observó una disminución (P < 0,05) en el número de vellosidades, profundidad de criptas, altura de enterocitos y tamaño del núcleo de enterocitos en el grupo FB1 ex vivo, con una puntuación de severidad más alta de dilatación de vasos linfáticos que el control (P = 0,0459).
El grupo FB1 también tendió a aumentar el recuento de células caliciformes (P = 0,0736) ex vivo, así como a disminuir la anchura de las criptas (P = 0,0638) in vivo.
El modelo ex vivo presentó valores medios y respuestas estadísticas similares a los observados in vivo, lo que demuestra su potencial como enfoque alternativo para evaluar los efectos de las micotoxinas en un número reducido de animales.
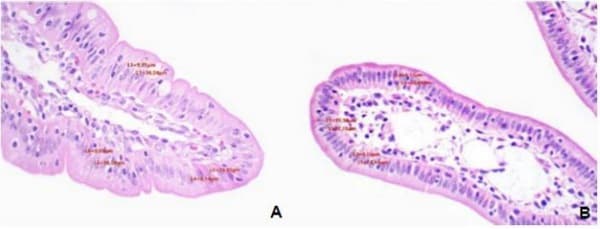
Mediciones histológicas de la altura de los enterocitos y del tamaño del núcleo de los enterocitos a partir de modelos in vivo y ex vivo para evaluar el impacto de FB1 en el yeyuno de cerdos.
A. Intestino delgado, mediciones de la altura y el tamaño del núcleo del enterocitos, grupo control, modelo in vivo. Obj. 40x, HE.
B. Intestino delgado, mediciones de la altura y el tamaño del núcleo del enterocitos, grupo FB1, modelo ex vivo. Obj. 40x, HE.
El trabajo concluye remarcando que es fundamental desarrollar modelos fiables que emulen las condiciones in vivo, reduciendo al mismo tiempo el impacto ambiental, económico y en el bienestar animal causado por la experimentación animal, sin comprometer su valor científico. El modelo ex vivo actual demostró los efectos de la FB1 en la integridad del epitelio intestinal al revelar las lesiones histológicas causadas por esta micotoxina en cerdos.
Los resultados del presente estudio demuestran el potencial de las mediciones ex vivo como un enfoque alternativo para evaluar los efectos de las micotoxinas con un número reducido de animales. Además, el modelo también puede aplicarse como alternativa a las pruebas in vitro e in vivo para evaluar la eficacia de diferentes aditivos antimicotoxinas contra la FB1.
Cámaras de Ussing utilizadas en el modelo ex vivo con explantes yeyunales de cerdos
A. Imagen del deslizador, donde se fijó el explante de yeyuno con pasadores de acero. El deslizador se colocó entre las dos mitades de la cámara, formando una barrera. B. Vista en primer plano de un par de cámaras, mostrando las dos semicámaras que contienen la solución tampón, separadas por el deslizador. C. Vista general del equipo, compuesto por cuatro cámaras Ussing, con un bloque calefactado y circulación de O₂ y CO₂.
Creative Commons, Excepto si se señala otra cosa, la licencia del ítem se describe como Attribution-NonCommercial-NoDerivatives 4.0 International