Introducción
En la primera parte de este artículo, se habló sobre la definición básica de la inflamación, células y moléculas que participan, mecanismos de acción, tipos de inflamasomas y las consecuencias que se derivan de un proceso inflamatorio. En esta segunda entrega, se continuará explicando sobre los mediadores de origen celular, el papel del sistema más efectivo de lisis celular (complemento), las kininas (incrementan el flujo sanguíneo, facilitan el paso de líquidos a través de pequeños vasos sanguíneos, estimulan los receptores del dolor y hacen parte del sistema reparador de tejidos), la función de la coagulación en la inflamación y las metaloproteinasas de matriz. Por último, se explicará sobre los mecanismos asociados a la fiebre y su costo metabólico. Adicionalmente, se mencionará cómo se resuelve exitosamente el proceso inflamatorio agudo que, de no ser así, se iniciaría una inflamación de tipo crónico con consecuencias funestas para el animal.
Mediadores primarios de origen humoral
Estos mediadores son producidos por cuatro sistemas que se activan durante el proceso de la inflamación:
1. Complemento
2. Kininas
3. Coagulación
4. Fibrinólisis.
Sistema del complemento. Su activación da lugar a la producción de C4a, C3a y C5a, moléculas de gran actividad biológica que se conocen como anafilotoxinas (activadoras de la anafilaxia, la cual es una reacción alérgica de tipo sistémico, grave y que pueden comprometer la vida del paciente). Son hormonas con efecto local, que aumentan la permeabilidad capilar, facilitan la degranulación de los mastocitos y la liberación de los mediadores primarios que ellos tienen preformados y almacenados en su citoplasma.
La diversidad de sus acciones biológicas es consecuencia del gran número de células con las que pueden interactuar. Todas las células circulantes, con excepción de los eritrocitos y muchas de las fijas como mastocitos, macrófagos tisulares, fibroblastos y células endoteliales, tienen receptores para todas o algunas de las anafilotoxinas.
Las respuestas celulares a las anafilotoxinas se caracterizan por la inducción de quimiotaxis que a su vez inducen cambios morfológicos, capacidad de adherencia y activación metabólica de diferentes células. Los polimorfonucleares poseen 1-3 x 105 receptores para la C5a. Los demás granulocitos también tienen receptores, pero en menor cantidad.
Las anafilotoxinas incrementan la permeabilidad capilar, que llega a su máximo entre los primeros 5 a 10 minutos después de la agresión y desaparece a la hora.
Si bien las anafilotoxinas cumplen una importante función de defensa, su producción exagerada o prolongada puede generar daño tisular importante, especialmente en el pulmón, generando enfisema o enfermedad obstructiva crónica (Lopera et al, 2017).
Sistema de las kininas. En condiciones normales, en el plasma se encuentran kininógenos, moléculas que en casos de inflamación son activadas por la kalicreína, que a su vez es activada por productos derivados de daño tisular, como colágeno, cartílago, componentes de las membranas basales, endotoxinas y factor Hageman o XII del sistema de la coagulación. Esta activación da origen a bradikinina y kalicreína, sustancias de gran actividad biológica que aumentan la permeabilidad vascular, inducen vasodilatación, producen dolor y en algunas circunstancias activan el sistema del complemento (Figura 1) (Cano et al, 2017).
Figura 1. Sistema de las kininas. Activación del sistema y efectos. Imagen cortesía del libro Inmunología de Rojas, 2017.
Sistemas de la coagulación y fibrinólisis. Las citoquinas proinflamatorias, IL-1β, TNF-a e IL-6, activan el sistema de la coagulación que, de no ser oportunamente controlado, genera daño vascular y coagulopatía intravascular diseminada. Cuando el proceso de la coagulación ha cumplido su función de evitar la pérdida de sangre, se inicia su desactivación para evitar que la coagulación se generalice, desactivación que la inicia una proteína muy potente como anticoagulante, la proteína C (diferente a la proteína C reactiva), que es activada por la trombina. Simultáneamente se activa el proceso de la fibrinólisis para destruir el coágulo y normalizar el flujo sanguíneo (Morrel et al, 2014).
Recientemente se ha establecido que la trombosis intravascular en vasos pequeños, tanto arteriales como venosos, cumple una importante función de defensa, y se le conoce como inmunotrombosis. Dentro del trombo en formación, las plaquetas y los productos de la cascada de coagulación regulan la función de atraer células del sistema inmune. Es importante recordar que las plaquetas liberan numerosos mediadores que reclutan leucocitos y activan en ellos la capacidad microbicida. Otro tanto hacen las CCL1, CXCL4, CXCL5, CCL3, y los CCR5 y CCR7, así como sus ligandos que activan receptores presentes en las células mieloides (Morrel et al, 2014). Los polimorfonucleares tienen mecanismos específicos para activar el desarrollo de trombosis por medio de sus NETs (del inglés neutrophil extracellular traps-trampas extracelulares de neutrófilos) que tienen diferentes moléculas microbicidas como mieloperoxidasa, elastasa, pentraxina y metaloproteinasa. La fibrina tiene igualmente efecto antimicrobiano al evitar la dispersión de microorganismos (Morrel et al, 2014).
Metaloproteinasas
Son una familia de 28 endopeptidasas cuya actividad es dependiente del Zinc (Zn). Son indispensables para la recuperación y remodelación de los tejidos. Se generan en los sitios de inflamación por la acción de las citoquinas proinflamatorias. Participan en la destrucción, modificación y reparación de la matriz extracelular (líquido donde están embebidas las células) y de las láminas basales. Se agrupan en diferentes clases según las moléculas sobre las cuales tienen efecto, así: las colagenasas destruyen fibras de colágeno; las estromielisinas fragmentan a los proteoglucanos, y las gelatinasas y la elastina atacan la fibronectina (Figura 2) Cuando ya no se requiere de su función, son desactivadas por factores tisulares inhibidores. A su vez, ellas desactivan varias de las quimioquinas cuando estas han cumplido su función, para evitar la acumulación de células en el lugar de la inflamación. Participan en el inicio, consolidación y resolución del proceso inflamatorio (Theocharis et al, 2019).

Figura 2. Metaloproteinasas en la inflamación. Imagen cortesía del libro Inmunología de Rojas, 2017.
Las metaloproteinasas no se encuentran en tejidos en reposo, sino que son secretadas rápidamente por varias células ante una invasión bacteriana o un trauma tisular. Se mantienen ancladas a la membrana celular y sólo se activan cuando establecen contacto con un sustrato adecuado y específico. La metaloproteinasa 1 modifica las fibras de colágeno para permitir el “deslizamiento” de células sobre ellas, gracias a la disminución de la expresión de determinadas moléculas de adherencia. Participan además en la cicatrización de las heridas, porque facilitan que las células epiteliales, los macrófagos y los fibroblastos se desplacen sobre la matriz extracelular. Las metaloproteinasas 2 y 9 modifican la expresión de integrinas y desactivan varias quimioquinas. La metaloproteinasa 7 se expresa en los bordes de las heridas y facilita el proceso de desprendimiento de las células epiteliales para facilitar su movilización para la reparación de las heridas o los daños tisulares (Theocharis et al, 2019).
Neuropéptidos e inflamación
Los principales neuropéptidos son:
- Sustancia P. Transmisor del estímulo de vasodilatación conducido por las fibras C, es cien veces más poderosa que la histamina en la producción de pápula y eritema. Parte de su acción se debe a degranulación de los mastocitos.
- Eledoisina. Estimulante de la secreción lacrimal.
- Neuroquinina A. Vasodilatador y estimulador de la degranulación de los mastocitos.
- Factor de crecimiento de nervios (NGF). Estimula el crecimiento de los axones y la producción de IL-3 (Suvas, 2017).
Síndrome febril
La fiebre es una de las manifestaciones que indican la presencia de infección o inflamación. El mecanismo que la produce se ha perfeccionado a lo largo de cientos de millones de años de evolución, haciéndola importante como mecanismo de defensa. Diferentes componentes microbianos, conocidos como pirógenos externos, inducen la generación de los pirógenos endógenos que son la IL-1, la IL-6 y TNF-a producidos por macrófagos, y células endoteliales (Evans et al, 2015).
Inducción de fiebre y su costo metabólico. El eje IL-6-COX2-PGE2 induce y mantiene la fiebre durante los procesos infecciosos. La detección de infección por el sistema inmune se inicia con la unión de PAMPs (patrones moleculares asociados a patógenos) a los PRRs (receptores reconocedores de patrones) y es seguido de la producción de IL-6. Las citoquinas secretadas local o sistémicamente inducen la producción en el cerebro de ciclooxigenasa 2, COX2, enzima responsable de la oxidación del ácido araquidónico para producir PGE2 (Evans et al, 2015).
La PGE2 actúa sobre los receptores 3 (EP3) de las células del centro termorregulador, lo cual genera fiebre al elevar el punto de control de la temperatura (Figura 3).
Figura 3. Mecanismos generadores de fiebre. Imagen cortesía del libro Inmunología de Rojas, 2017.
La fiebre tiene un alto costo metabólico, un grado Celsius de incremento implica un aumento de 10 a 12.5% en el costo metabólico (Baracos et al, 1987). Incrementos de temperatura de uno a cuatro grados Celsius son de utilidad en la lucha contra las infecciones (Ogoina, 2011).
La fiebre induce un incremento en la producción de un neurotransmisor, la acetilcolina, que estimula la liberación de energía almacenada en los músculos, para incrementar el catabolismo. Por la producción de noradrenalina incrementa la termogénesis en el tejido adiposo pardo, que induce vasoconstricción en las extremidades para disminuir la pérdida de calor (Ogoina, 2011).
Además de la hipertermia, el síndrome febril se acompaña de cambios neurohormonales como el incremento en la producción de vasopresina, hormona estimulante de melanocitos, de hormona adreno corticotropina (ACTH), inductora de la producción de cortisona y hormona liberadora de la tirotrofina.
Los pirógenos endógenos disminuyen las concentraciones séricas de hierro (Fe) y Zn e incrementan las concentraciones de cobre (Cu), proteínas de la fase aguda y fibrinógeno. Hay simultáneamente un estímulo a la respuesta de inmunidad celular (Humann-Ziehank et al, 2014). Se presentan cambios en el comportamiento como sueño, anorexia, depresión, astenia e inactividad.
Un incremento de uno a cuatro grados se acompaña de una disminución de hasta doscientas veces en la tasa de replicación de algunos virus y en la reducción de bacterias gramnegativas (Baracos et al, 1987). Recientemente, algunos investigadores han aportado información que sugiere que el empleo de antipiréticos en algunas infecciones virales, como la influenza, aumentaría hasta en un 5% la mortalidad por esta infección (Sunden et al, 2003).
La fiebre estimula a las células dendríticas a capturar antígenos y a presentarlos a los linfocitos T. También favorece el tráfico de linfocitos al incrementar la expresión de Selectina L, integrina α4β7 e ICAM1 por el endotelio para facilitar el rodamiento y posterior migración transendotelial (Evans et al, 2015).
La fiebre estimula la inmunidad adquirida al incrementar el tráfico de los linfocitos vírgenes por los órganos linfoides secundarios, propiciando el incremento de las moléculas de adherencia en los capilares de células cuboides dentro de los ganglios linfáticos (Evans et al, 2015).
Inflamación crónica
Si el agente agresor no puede ser oportunamente controlado, la prolongación del estado inflamatorio se acompaña de la formación de diferentes tipos de órganos linfoides terciarios (OLTs), como: acúmulos linfoides, algunos tipos de tejido linfoide asociado a la orofaringe, tracto digestivo, bronquios, manchas lechosas del peritoneo y formación de granulomas. El sistema nervioso central induce la formación de todas estas estructuras, activando las células del estroma pericapilar y las células linfoides, LTi y LT γδ (Cano et al, 2017).
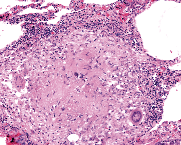
Entre los OLTs sobresalen los granulomas, estructuras similares a un ganglio linfático, con acúmulo de macrófagos y células gigantes multinucleadas de 40 a 60 micras de diámetro, con 15 o más núcleos. No se sabe si estas se forman por división incompleta de un macrófago o por fusión de varios de ellos. Estas células gigantes están rodeadas de linfocitos, especialmente CD4 y CD8. En el interior del granuloma hay formación de nuevos capilares con epitelio cuboide, que permite el ingreso de las diferentes células que conforman el granuloma (Figura 4).
Figura 4. Aspecto y arquitectura de un granuloma.
En los procesos inflamatorios crónicos suele presentarse anemia microcítica hipocrómica por disminución en la producción de eritropoyetina como consecuencia del efecto que sobre el riñón tienen las citoquinas proinflamatorias. Es hipocrómica por falta de disponibilidad de Fe, debido a la producción de hepcidina, uno de los reactantes de la fase aguda, que reduce la absorción de hierro (Evans et al, 2015).
Resolución del proceso inflamatorio
El proceso inflamatorio es por lo general limitado, y termina por resolverse. Las distintas células y sistemas que participan en él están sometidas a mecanismos que las desactivan cuando su participación ya no es necesaria. Las células que ya no son requeridas mueren por apoptosis (Figura 5).
Figura 5. Resolución de los procesos inflamatorios agudos y crónicos. Imagen cortesía del libro Inmunología de Rojas, 2017.
La resolución del proceso inflamatorio se inicia con la suspensión del flujo de polimorfonucleares al lugar de la agresión, seguida de la muerte por apoptosis de las células que participaron en el proceso, lo que es seguido de esferocitosis o captura de los cuerpos apoptóticos por macrófagos. Simultáneamente se desencadena la producción de: i) lipoxinas, resolvinas, protectinas, meresinas y eicosanoides antiinflamatorios producidos en el tejido adiposo; ii) citoquinas antiinflamatorias, IL-10, IL-13 e IL-27, así como un receptor antagónico de la IL-1; iii) Netrin 1 y acetilcolina, neuropéptidos generados por estímulo del nervio vago; iv) factor transformador del crecimiento beta, TGFβ, que frena la hematopoyesis, reduce la producción de las citoquinas proinflamatorias e inhibe la adherencia de leucocitos al endotelio vascular (Headland y Norling, 2015)
Hay luego activación de los fibroblastos para iniciar la reparación de los daños que la agresión pueda haber causado en el tejido. Participan también los eosinófilos, que son fuente de fosfolipasa D, enzima que inactiva el factor activador de las plaquetas, y de histaminasa, que desactiva la histamina. Tanto el sistema del complemento como el de la coagulación son desactivados por enzimas reguladoras que evitan que su activación se prolongue más de lo necesario (Headland y Norling, 2015).
Reparación de tejidos
Cuando cesa el proceso inflamatorio se inicia la reparación o cicatrización de los tejidos. Los macrófagos participan con la eliminación de detritos y remoción de restos celulares. Los fibroblastos, las células epiteliales y endoteliales, estimulados por citoquinas como el factor de crecimiento de la epidermis (EGF) y el factor de crecimiento del endotelio (VEGF), inician la cicatrización con el deslizamiento de células epiteliales para cubrir los espacios que hayan sido desprovistos de ellas por heridas o trauma. La fibronectina ayuda a la formación de la matriz tisular, estimula la angiogénesis y asegura la nutrición del tejido reparado (Headland y Norling, 2015).
Conclusiones
La inflamación
- Es un proceso vital que asegura todos los elementos necesarios (células y moléculas) frente a una agresión para evitar que la misma acabe con la vida del animal.
- Genera signos que ayudan a potenciar la respuesta y el ataque contra los microorganismos (ejemplo: la fiebre).
- Debe ser estratégicamente modulada en términos del momento en el que se encuentre dicho proceso (ejemplo: uso de antinflamatorios).
- Es un proceso metabólicamente costoso y su modulación debe buscar migrar lo más rápido posible de una respuesta inmune innata hacia una adquirida.
- Nuevos compuestos con capacidad antinflamatoria podrían usarse racionalmente en ciertos momentos oportunos de la inflamación para contrarrestar los efectos colaterales y así mejorar los parámetros productivos