Resumen
El síndrome multisistémico de emaciación post destete porcino (PMWS, por sus siglas en Inglés) ha tenido en años recientes extraordinaria importancia en la industria porcina en muchos países, particularmente en Canadá, Estados Unidos de América, Comunidad Europea, Asia y Sur América. El síndrome afecta a cerdos jóvenes, en edad comprendida generalmente entre las 8 y 14 semanas. El PMWS se caracteriza por emaciación, diarrea, ictericia y aumento de volumen de los linfonódulos.
El circovirus porcino tipo 2 (PCV2, por sus siglas en inglés) ha sido descrito como el principal agente infeccioso en el PMWS y simultáneamente puede concurrir con otras enfermedades virales tales como: parvovirus porcino, virus del síndrome respiratorio y reproductivo porcino, además de otras entidades bacterianas. El diagnóstico del PMWS se basa en la edad de los cerdos, aspectos clínicos, emaciación, palidez de mucosas, hallazgos de necropsia, estudios histopatológicos, exámenes de hibridización in situ (HIS) en tejidos que revelan la presencia del PCV2, además de estudios ultraestructurales.
El objetivo principal de la presente investigación fue mostrar una mayor y actualizada casuística del PMWS en nuestro país. El presente estudio se realizó en 120 lechones de 8 a 16 semanas de edad, ubicados en 10 granjas porcinas de los estados Aragua y Carabobo, Venezuela. Los lechones presentaban pobre condición corporal, severa palidez, disnea, diarrea, dificultad respiratoria e hipertrofia de los linfonodos inguinales superficiales.
Al realizar las necropsias se evidenció neumonía en grado variable e incremento del tamaño de los nódulos linfáticos inguinales, mesentéricos y traqueobronquiales, mientras que la histopatología revelaba depleción linfoide, con pérdida de la arquitectura de los linfonódulos con histiocitosis, células sincitiales e histiocitos con corpúsculos basófilos intensos intracitoplasmáticos, hallazgos altamente sugestivos del PMWS. Adicionalmente, se procesaron muestras de estos mismos tejidos mediante la técnica HIS, lo que permitió demostrar la presencia de PCV2 en todos los tejidos linfoides afectados y confirmar el diagnóstico de PMWS. El estudio ultraestrutural permitió observar las características del ente viral involucrado. Este es el primer trabajo que incluye métodos ultraestructurales para describir este síndrome en Venezuela.
(Palabras clave: Cerdo, circoviridae, diagnóstico, mor fología, trastorno nutricional, Aragua, Carabobo)
Abstract
Nowadays, the postweaning multisystemic wasting syndrome (PMWS) is an important disease in the swine industry, particularly in Canada, United States of America, Europe, Asia, and South America. The PMWS mainly affects pigs between 8 and 14 weeks of age. The PMWS is characterized by emaciation, diarrhea, icterus, and an enlargement of lymph nodes. The porcine circovirus type 2 (PCV2) has been described as the main infectious agent responsible for PMWS.
It can concurrently occur with other viral diseases such as porcine parvovirus (PPV), porcine respiratory and reproductive viral syndrome, as well as other bacterial entities. The PMWS diagnosis is based on the pig´s age, clinical aspects, weight loss, macro and microscopic findings, presence of nucleic acids in tissues which reveal the existence of the PCV2, detected by an in situ hybridization (ISH) technique, and ultrastructural studies. This investigation studied the histological findings, in situ hybridization, and ultrastructural assessment of PMWS in pig farms in Venezuela. The main purpose of this study was to show a greater and updated cases of PMWS in our country. A total of 120 piglets ages 8 to 16 weeks, from 10 pig farms of the States of Aragua and Carabobo, Venezuela, were evaluated. The piglets showed poor body condition, pale appearance of mucous membranes, dyspnea, diarrhea, respiratory distress, and hypertrophy of superficial inguinal lymph nodes. At necropsy, diverse degrees of pneumonia, enlargement of superficial inguinal, mesenteric, and tracheobronquial lymph nodes were found, while the histological findings showed lymphoid depletion, loss of lymph nodes architecture, hystiocytosis, syncitial cells, and the presence of cytoplasmic inclusions in hystiocitic cells. All these findings were suggestive of PMWS.
Furthermore, samples of the same tissues were processed through the ISH, which allowed showing the presence of PCV2 in all affected lymphoid tissues, confirming the diagnosis of PMWS. The ultrastructural study showed the characteristics of the virus involved. This is the first study in Venezuela that includes ultrastructural methods describing the PMWS
(Key words: Swine, circoviridae, diagnosis, morphology, nutritional disorders, Aragua,Carabobo)
Introducción
El circovirus porcino tipo 2 (PCV2, por sus siglas en Inglés) es considerado el agente etiológico del síndrome de emaciación multisistémico postdestete en porcino (PMWS, por sus siglas en Inglés)
Su importancia en los últimos años ha ido en aumento en varias partes del mundo y se ha manifestado como una enfermedad emergente en la industria porcina. Desde los primeros casos en Canadá en 1999 (Allan y Ellis, 2000), el síndrome ha sido reportado en la mayoría de los países productores de cerdos en todo el mundo, incluyendo Europa, Asia y América (Clark, 1997; Kennedy et al., 1998; Madec et al., 2000; Ciacci-Zinella et al., 2002; Segalés y Domingo, 2002). De igual manera, se han diagnosticado concomitantemente otras enfermedades o infecciones en las granjas (Allan et al., 1999; Drolet et al., 1999; Madec y Kennedy et al., 2000; Waddilove, 2002), entre las cuales mencionan el síndrome respiratorio y reproductivo porcino (Allan et al., 1999; Harms et al., 2001; Rovira et al., 2002) y la Parvovirosis (Allan et al.,1999).
El PCV2, es un virus muy resistente y pequeño, de 12-23 nm de diámetro, sin envoltura externa, icosaédrico, de cadena simple y estable de ADN. Pertenece a la familia Circoviridae, género Circovirus (Rossell et al.,1999; Sorden, 2000; Bolin et al., 2001; Bolin y Allan, 2002). El PCV2 es muy parecido al circovirus porcino tipo I, por lo que para diferenciarlo genéticamente, se clasifica como circovirus porcino tipo II (PCV2).
El PCV2 presenta dos genotipos (PCV2a y PCV2b) los cuales han sido aislados de casos de PMWS y ambos son patogénicos bajo condiciones experimentales controladas.
El PMWS es causado por la infección con PCV2, pero el virus sólo no es suficiente para generar problemas en la granja; factores como el manejo y alimentación pueden jugar parte importante en el desarrollo de la enfermedad. Por otro lado, se ha señalado que los factores hereditarios y la susceptibilidad natural de los cerdos podrían explicar la presentación o no de la circovirosis porcina. Este incremento de susceptibilidad ha sido señalado en determinadas líneas genéticas de verracos; por otra parte, cerdos de la misma camada pueden crecer y ser expuestos a los mismos agentes virales y desarrollar enfermedad en diferentes grados. Ésto parece estar asociado con factores hereditarios que tienen diferente patrón genético. La susceptibilidad hereditaria al PMWS ha sido investigada para ser usada en la selección de cerdos resistentes a PMWS, y así minimizar o eliminar los problemas con PMWS en la producción y cría de cerdos (Carr et al., 2008).
Las enfermedades asociadas al circovirus (PCVADs), en concreto el PMWS, se considera actualmente como una enfermedad multifactorial del cerdo. El agente causal es el PCV2, aunque distintas infecciones experimentales, estudios y observaciones de campo han demostrado que la expresión clínica de la enfermedad requiere de otros factores desencadenantes, sean infecciosos o no, habiéndose relacionado la expresión clínica de las PCVADs con distintos factores genéticos y nutricionales del cerdo. Hasta el momento, todos los estudios acerca de las PCVADs realizados tanto en la Unión Europea como en el resto del mundo, han sido llevados a cabo por laboratorios o pequeños grupos de trabajo, sin suficiente capacidad para estudiar la complejidad de un proceso de enfermedad multifactorial de forma adecuada y precisa.
Con tal de determinar los aspectos genéticos de las PCVDs a nivel de huésped, se desarrollarán nuevos e innovadores métodos para combinar información genética y datos de expresión génica en microseries, ello redundará en una aproximación genómica sinérgica para poder describir las bases moleculares de las PCVADs (Rodríguez-Cariño y Segalés, 2009, en prensa).
El PMWS es trasmitido de cerdo a cerdo por contacto directo y por vía aérea, de allí que lechones con síntomas de la enfermedad deben ser removidos y separados de animales sanos, debiendo implementar las medidas sanitarias que eviten la dispersión del virus (Scott et al., 2008). La presencia del PMWS fue descrita por primera vez en Venezuela, al conjugar la clínica con la histopatología e hibridización in situ (HIS) por Sogbe et al. (2003). El objetivo principal de la presente investigación fue mostrar una mayor y actualizada casuística del PMWS en nuestro país, documentándola con la descripción ultraestructural de las lesiones en los linfonódulos correspondientes a los animales sujetos al estudio.
Materiales y Métodos
La metodología empleada para la evaluación diagnóstica de los cerdos, estuvo basada en la demostración de las lesiones histológicas consideradas características, en animales con signos clínicos compatibles con PMWS, además de evidenciar en los órganos descritos la presencia del PCV2, a través de la técnica de HIS (Sorden, 2000). Por otra parte, se realizó el estudio de los órganos afectados, particularmente linfonódulos, según procesamiento para microscopía electrónica (Rodríguez-Cariño y Segalés, 2009, en prensa).
La selección de las granjas sospechosas a PMWS estuvo basada en el criterio propuesto por Harding y Halbur (2002), a saber: elevación de la mortalidad y presencia de lesiones macro y microscópicas características.
Para la selección de los casos sospechosos de PMWS individualmente, se siguió el criterio propuesto por Harding y Halbur (2002), que determina que la presencia de: 1) signos clínicos, 2) lesiones macro y microscópicas y 3) detección del antígeno viral, pueden definir un caso positivo a PMWS asociado al PCV2.
En el presente estudio, los casos sospechosos fueron aquellos que presentaban los signos clínicos, hallazgos de necropsia y cambios microscópicos característicos de la enfermedad asociada al PCV2. La confirmación de la presencia del antígeno viral fue realizada en muestras seleccionadas para tal fin, que reunían los criterios clínicos y patológicos compatibles con PMWS, a través de HIS.
Se evaluaron 10 granjas porcinas (sin relación alguna) localizadas en los estados Aragua y Carabobo (Venezuela), estudiándose 120 lechones con edades comprendidas entre las 8 y 16 sem (12 lechones/ granja), los cuales presentaban hallazgos clínicos y criterios para el estudio (Rossell et al., 1999; Sorden, 2000): emaciación, palidez, disnea, hipertrofia de linfonódulos inguinales y diarrea (Tabla 1). A los animales afectados se les practicó la necropsia y se les tomó muestras representativas de lesiones en pulmones, linfonódulos inguinales, traqueobronquiales, mesentéricos, además de bazo, hígado, riñón e intestino delgado (particularmente íleon); el resto de los órganos evaluados no presentaron lesiones macroscópicas. Las muestras obtenidas se fijaron en formol neutro bufferado al 10%, siendo procesadas por el método de inclusión en parafina para la obtención de secciones histológicas de 4-5 μm, las cuales fueron teñidas con la coloración de Hematoxilina y Eosina, siguiendo procedimientos rutinarios de histopatología (Stevens y Lowe, 1998), el procesamiento de ellas se realizó en un laboratorio privado de Anatomía Patológica.
La técnica de HIS empleada consistió: a partir de bloques de parafina, se realizaron secciones de tejidos de 3-4 μm, luego se colocaron en un equipo de hibridización in situ (HYBrite Denaturation/Hibridization System for FISH®).
Las preparaciones fueron incluidas en un cestillo, se desparafinaron y deshidrataron en soluciones de etanol, en concentraciones crecientes. Se procedió a la digestión con 0,3% de pepsina e incubación por 5 min a 105ºC, hibridizándose para PCV2 con una sonda de ADN de 40 nucleótidos marcada con digoxina, para lo cual, primero se incubó durante 5 min a 105ºC (prehibridización) y luego a 37ºC/60 min. Se lavó con citrato de sodio para garantizar el acoplamiento entre el ácido nucleico blanco y el ADN de la sonda, seguido del anticuerpo antigoxina conjugado (fosfatasa alcalina). Se colocó una tinción reveladora con tetrasolium nitroblue que hace insoluble la reacción, tiñendo de azul negruzco las mismas.
Los tejidos fueron contrastados finalmente con Fast Green durante 10 a 12 min. Se lavó con agua destilada varias veces, se deshidrató en soluciones crecientes de alcoholes y xiloles. Luego las muestras fueron montadas en láminas porta objetos cubiertas por sus respetivas laminillas (Rossell et al., 1999; 2000). Las muestras fueron evaluadas y fotografiadas en un microscopio Nikon Labophot trinocular. El resultado de la evaluación clasificó como negativo o positivo, estos últimos fueron a su vez distinguidos en leve, moderado o fuerte de acuerdo a la positividad antigénica evidenciada (Sarli et al., 2001).
Se fijaron pequeñas muestras de tejidos (1 mm3) para su estudio ultraestructural con 2,5% paraformaldehído (v/v) y 2% glutaraldehído (v/v) en una solución 0,1 M tampón (PB), pH 7,4, durante 24 h. Subsecuentemente, los bloques de tejidos fueron lavados con PB 0,1 M, pH 7,4, dos veces y preservados en 2% paraformaldehído (v/v) en 0,1 M PB, pH 7,4 a 4ºC hasta su posterior procesamiento.
Una vez obtenidos los resultados histopatológicos y de hibridización in situ (1 semana después de la necropsia), cinco de las muestras mencionadas más representativas, fueron post-fijadas con tetra-óxido de osmio al 1% a 4°C durante toda la noche (en 0,5 M acetato de sodio), seguido de lavados con agua destilada. Luego de la deshidratación secuencial en acetona, las muestras fueron embebidas en resina Eponate 12TM (Ted Pella, Inc, Redding, CA, EUA) y polimerizadas a 60°C por 48 h. Se obtuvieron cortes semifinos de 90 nm de grosor con el ultramicrotomo Leica UCT (Leica Microsystems GmbH, Wetzlar, Alemania), los cuales fueron teñidos con solución acuosa al 1% de azul de toluidina, y observados al microscopio de luz. Se realizaron los cortes ultrafinos a 60-70 nm de grosor, colocados en rejillas de cobre para microscopía electrónica y se contrastaron con acetato de uranilo al 2% y solución de citrato de Reynold (Risco et al., 1994).
Las secciones fueron observadas en el microscopio electrónico de transmisión Jeol 1400 ( Jeol LTD, Tokio, Japón) y fotografiadas con una cámara Gatan Ultrascan ES1000 CCD Camera 2048 x 2048 pixeles. Los cambios ultraestructurales fueron clasificados semicuantitativamente desde "ninguno" (0), leve (1), moderado (2) a "severo" (3). Las muestras se procesaron en el Servicio de Microscopía de la Facultad de Ciencias de la Universidad Autónoma de Barcelona, España.

Resultados y Discusión
Estudio Clínico
En el diagnóstico clínico de PMWS, seis signos clínicos fueron fundamentales: emaciación, disnea, hipertrofia de nódulos linfoides, diarrea profusa y acuosa, palidez e ictericia (Tabla 1), similares a los descritos para PMWS en la literatura (Segalés et al., 1997; Kennedy et al., 1998; Allan et al., 1999; Rossel et al., 1999; Madec et al., 2000; Bolin et al., 2001; Harms et al., 2001; Ciacci-Zanella et al., 2002; Segalés y Clark, 2002; Sogbe et al., 2008; Zlotowsski et al., 2008). El PMWS principalmente afecta cerdos entre 8-16 semanas de edad, pero también ha sido descrito en cerdos de engorde (Wallgreen et al., 2008). En los 120 casos estudiados se observaron 6 lechones con lesiones hemorrágicas de piel y nefropatía asociada a las descritas para el síndrome de dermatitis y nefropatía porcina (Sierra et al., 1997; Drolet et al., 1999; Harding y Halbur, 2002; Zlotowsski et al., 2008).
Estudio de Necropsia
En la necropsia se evidenciaron lechones con déficit ponderal, emaciación (Figura 1), hipertrofia de los linfonódulos inguinales superficiales, mesentéricos y traqueobronquiales (Figura 2), los pulmones se presentaban no colapsables, de consistencia gomosa y elástica (Figura 3), edema alveolar y efusión pleural. Algunos casos mostraban ictericia y edema mesocolónico, mientras 6 lechones presentaron lesiones hemorrágicas dérmicas y renales (Tabla 2).
Estos hallazgos macroscópicos fueron coincidentes con los reportados por otros investigadores (Phillips et al., 2008).
Estudio Histopatológico
El estudio microscópico reveló, en pulmones, neumonitis intersticial de grado variable (leve, moderada ó severa) (Figura 4), con algunos casos mostrando proceso neumónico infeccioso de tipo bacteriano asociado. Los órganos linfoides mostraron depleción linfoide moderada o severa en linfonódulos, amígdalas, bazo y placas de Peyer, usualmente mostraron marcado infiltrado histiocitario (Figuras 5 y 6), cuerpos de inclusión esféricos intensamente basófilos en el citoplasma de macrófagos (Figura 5), y presencia de células sincitiales (Figuras 6 y 7).
En seis de los casos se apreció nefritis intersticial mononuclear con células sincitiales (Figura 8) y dermatopatía mononuclear perivascular hemorrágica. Todos estos hallazgos se señalan en la Tabla 3 y son coincidentes con los señalados en la literatura (Clavijo et al., 2008).
Figura 6. Micrografía de nódulo linfático inguinal superficial, mostrando depleción linfoide y presencia de célula sincitial (recuadro). H&E. 640x. Aumento original
Hibridización In Situ (HIS)
Cinco de los casos histopatológicos más representativos que mostraron depleción linfoide, infiltrado histiocitario, granulaciones basófilas intracitoplasmáticas en histiocitos y presencia de células sincitiales fueron sometidos a la técnica de HIS. En el 100% de ellos (incluyendo dos casos de PDNS) se evidenció de moderado a marcado incremento de ácidos nucleicos de PCV2 (Figura 9). La clasificación seguida para tal fin fue la utilizada por Sarli et al. (2001) en asociación con las lesiones histológicas señaladas en los órganos linfoides evaluados.

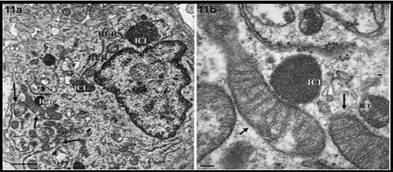
Los cambios subcelulares obser vados con microscopía electrónica de trasmisión revelaron en nódulos linfáticos de animales afectados y con diagnóstico histopatológico y de HIS: edema mitocondrial, proliferación y dilatación del complejo de Golgi y retículo endoplásmico rugoso, además de un incremento de figuras mielinoides. Los histiocitos de los linfonodos inguinales mostraron gran número de inclusiones intracitoplasmáticas (ICIs) electro-densas en todo el citoplasma, con doble membrana en su periferia, las cuales presentaban en su interior, partículas semejantes a virus, de estructura icosahédrica con diámetro de 15 a 17nm (Figuras 10 y 11), además, en menor grado, cuerpos de inclusión intranucleares (INIs) de 10 a 13 nm de diámetro. Las ICIs se observaban cercanas a las mitocondrias degeneradas, con pérdida de las crestas. En algunos casos lucían muy dilatadas, con gran tamaño, denominándose megamitocondrias.
Los cambios morfológicos descritos fueron asociados a la presencia de ICIs y partículas similares a virus (VLPs, por sus siglas en Inglés) en el citoplasma, las cuales probablemente tengan relación con actividad secretoria e inflamación (Gómez-Villamandos et al., 1997; Sogbe et al., 2008). Por otra parte, se encontraron diferentes formas y tamaños de viriones y cambios subcelulares evidenciados en el citoplasma de los histiocitos, lo cual es indicativo de replicación viral (Novoa et al., 2005)
Figura 9. Micrografía de linfonódulo inguinal superficial. Hibridización in situ: muestra de izquierda a derecha: leve, moderada y severa positividad al PCV2. Corresponde a las muestras de los animales de las figuras 5, 6 y 7, respectivamente; Contraste Fast Green. HIS: 80x, 160x y 120x, respectivamente
Se ha demostrado que los virus ADN y ARN pueden usar el retículo endoplásmico rugoso y el complejo de Golgi para su replicación, con lo cual se ha explicado la presencia de VLPs próximas a estas organelas (Mettenleiter, 2002; Gómez-Villamandos et al., 2003; Salanueva et al., 2003). En este sentido, se ha sugerido que el PCV2 pueda usar las membranas mitocondriales para formar factorías virales (Rodríguez-Cariño y Segalés, 2009, en prensa), lo cual también fue observado en el presente estudio.

Figura 10. 10a: Ultramicrografía de linfonódulo inguinal superficial de cerdo afectado con PMWS, mostrando histiocito con cuerpos de inclusión intracitoplasmáticos, tres de ellos con doble membrana alrededor y partículas icosahédricas en su interior (flechas) (Barra = 100nm); 10b: Detalle de los mismos histiocitos con cuerpos de inclusión intracitoplasmáticos a mayor aumento, nótese las partículas icosahédricas que son consistentes con viriones, mostrando un tamaño de 17 nm de diámetro (flechas) (Barra = 100 nm). Ambas figuras corresponden al animal de la histopatología de la Figura 5

Figura 11. 11a: Ultramicrografía de linfonódulo inguinal de cerdo afectado con PMWS. A la izquierda, un histiocito muestra severa degeneración mitocondrial (flechas), dilatación del retículo endoplásmico rugoso (RER), e inclusiones intracitoplasmáticas (ICI) de variado tamaño, las cuales contienen partículas similares al virus. Barra=1mm. 11b: Detalle una ICIs con partículas semejantes a viriones de unos 17 nm de diámetro, localizadas muy cerca de las mitocondrias, las cuales presentan signos de degeneración (flechas). Barra = 100nm. Corresponden al animal de la histopatología de la Figura 6
Conclusiones
Los aspectos clínicos, histopatológicos, de HIS y ultraestructurales permitieron confirmar y caracterizar las alteraciones orgánicas, morfológicas histopatológicas y ultraestructurales de PMWS en las granjas evaluadas, con caracteres similares a los señalados por otros investigadores a nivel mundial.
Con ello se cumple con los parámetros o criterios básicos para realizar el diagnóstico final de la entidad: 1) presencia del cuadro clínico, 2) lesiones histológicas características; 3) detección de PCV2 por HIS en los tejidos afectados y; 4) aspectos morfológicos ultraestructurales consistentes con la infección de PCV2, los cuales coinciden con los reportados en la literatura (Stevenson et al., 1999; Crowter et al., 2003; Hirai et al., 2003; Imai et al., 2006).
Los signos clínicos más frecuentes fueron emaciación, trastornos respiratorios y palidez de mucosas. Las lesiones histopatológicas descritas como típicas o características pueden no encontrarse todas en un solo caso, por ello es importante la selección de los tejidos a ser remitidos al laboratorio de Anatomía Patológica, pero en conjunto la evaluación de varios cerdos de cada granja permitió realizar el diagnóstico.
La detección del PCV2 por HIS permitió confirmar el diagnóstico en el 100% de las muestras evaluadas, lo cual demuestra el alto grado de correlación con los hallazgos histopatológicos: depleción linfoide, infiltrado histiocitario, presencia de granulaciones basófilas intracitoplasmáticas en histiocitos y células sincitiales con la presencia del virus en dichas células.
La mayor o menor positividad para ácidos nucleícos del PCV2 pudiera tener relación con el daño tisular linfoide y con la susceptibilidad/resistencia del animal evaluado. El estudio ultraestructural por microscopía electrónica de transmisión confirmó la presencia de un agente viral consistente con el PCV2 y fue capaz de estudiar su morfología y aspectos relacionados con la interacción con mecanismos secretorios de las células así, como su replicación dentro de ella. Este trabajo debe ser complementado con el desarrollo de técnicas específicas que permitan detectar el virus y su localización subcelular en tejidos procedentes de animales afectados y diagnósticados con circovirosis porcina.
Referencias
- Allan,G.M.; Kennedy, S.; McNeilly, F.; Foster, J.C; Ellis, J.A.; Krakowka, S.J.; Meehan, B.M.; Adair, BM. 1999. Experimental reproduction of severe wasting disease by coinfection of pigs with porcine circovirus and porcine parvovirus. J. Comp. Pathol., 121:1-11.
- Allan, G.M.; Ellis, JA. 2000. Porcine circovirosis: a review. J. Vet. Diagn. Invest., 12:3-14.
- Bolin, S.R.; Allan,G.M. 2002. Old virus or new virus-In a world continuous changes-. En: PMWS and PCV2 diseases Beyond the debate. Merial.17th.IPVS Congress. Ames. Iowa. USA.pp. 9-17.
- Bolin, S.R.; Stoffregen, W.C.; Nayar, G.P.S.; Hamel, AL. 2001. Postweaning Multisystemic Wasting Syndrome induced after experimental inoculation of cesarean-derived, colostrum deprived piglets with type 2 porcine circovirus. J. Vet. Diag. Invest., 13:185-194.
- Carr, J.; O Dea, M.; Mclachlan, S.; Wilcox,G. 2008. En: Proceedings of 20th IPVS Congress. Durban. South Africa. 2:39. (Abstr.).
- Ciacci-Zanella, J.R.; Zanella, E.L.; Morés, N. 2002. Postweaning multisystemic wasting syndrome in Brazil caused by porcine Circovirus Type 2. En: Proceedings of 17th IPVS Congress. Iowa State University. Ames. Iowa. USA. 2:422. (Abstr.).
- Clark, EG. 1997. Post-weaning multisystemic wasting syndrome. En: Proceeding of the 28th. American Association of Swine Practitioners. pp. 499-501.
- Clavijo, J.; Rincón, M.A.; Mogollón, D. 2008. Pathological findings in porcine circovirus type 2 associated diseases in Colombia. En: Proceedings of 20th IPVS Congress. Durban. South Africa. 2:550.
- Crowther, R.; Berriman, J.A.; Curran, W.L.; Allan, G.M.; Todd, D. 2003. Comparison of the structures of three circoviruses: chicken anemia virus, porcine circovirus type 2 and beak and feather disease virus. J. Virol., 77:3036-13041.
- Drolet, R.; Thibault, S.; Allaire, S.; Thompson, J.R.; Done, S.H. 1999. Porcine dermatitis and nephropathy syndrome (PDNS). En: An overview of the disease.
- Swine Health and Production, 7:283-285.
- Gomez-Villamandos, J.C.; Bautista, M.J.; Carrasco, L.; Caballero, MJ.; Hervas, J.; Villeda, C.J.; Wilkinson, P.J.; Sierra, M.A. 1997. African swine fever virus infection of bone marrow: lesions and pathogenesis. Vet. Pathol., 34:97-107.
- Gómez-Villamandos, J.C.; Salguero, F.J.; Ruiz-Villamor, E.; Sanchez-Cordon, P.J.; Bautista, M.J.; Sierra,
- M.A. 2003. Classical swine fever pathology of bone marrow. Vet. Pathol., 40:157-163. Harding, J.C.; Halbur, P.G. 2002. PMWS or a group of PCV2- associated syndromes: ever- growing concerns. En: PMWS and PCV2 diseases beyond the debate. Proceedings of 17th. IPVS Congress. Ames. Iowa. USA. pp.19-31.
- Harms, PA.; Sorden, S.D.; Hackbur, P.G.; Bolin, S.R.; Lager, K.M.; Morozov, J.; Paul, P.S. 2001. Experimental reproduction of severe disease in CD/CD pigs concurrently infected with type 2 virus circovirus and porcine reproductive and respiratory syndrome virus. Vet. Pathol., 38:528-539.
- Hirai, D.M.; Nimoya, T.; Ibarra, T.; Kusanagi, K.; Kato, K.; Shibuya, K. 2003. Acute hepatitis in a piglet experimentally inoculated with tissue homogenates from pigs with postweaning multisystemic wasting syndrome. J. Vet. Med. Sci., 65:1041-1045.
- Imai, D.M.; Cornisa, J.; Nordhausen, R.; Ellis, J.; MacLachlan, N.J. 2006. Renal tubular necrosis and interstitial hemorrhage (‘‘turkey-egg kidney´´) in a circovirus-infected Yorkshire cross pig. J. Vet. Diagn. Invest., 18:496-499.
- Kennedy, S.; Allan, G.M.; McNeilly, F.; Adair, B.M.; Hughes, A.; Spillane, P. 1998. Porcine circovirus infection in Northern Ireland. Vet. Rec., 142:195- 196.
- Kennedy, S.; Moffett, D.; McNeilly, F.; Meehan, B.; Ellis, JA.;Krakowka, S.J.; Allan, GM. 2000. Reproduction of lesions of postweaning multisystemic syndrome by infection of conventional pigs with porcine circovirus type 2 alone or in combination with porcine parvovirus. J. Comp. Pathol., 122:9-24.
- Madec, F.; Waddilove, J. 2002. Control of PCV2 or other factors, several approaches to a complex problem. En: PMWS and PCV2 diseases beyond the debate. Proceedings of 17th. IPVS Congress. Ames. Iowa. USA. pp. 45-53.
- Madec, F.; Eveno, E.; Mor van, P.; Hamon, L.; Blanchard, P.; Cariolet, R.; Amenna, N.; Morvan, H.; Truong, C.; Mahe, D.; Abina, E.; Jestin, A. 2000. Post-weaning multisystemic wasting syndrome (PMWS) in pigs in France: Clinical observations from follow-up studies on affected farms. Livest. Prod. Sci., 63: 223-233.
- Mettenleiter, T.C. 2002. Herpesvirus assembly and egress. J. Virol., 76:1537-1547.
- Novoa, R.R.; Calderita, G.; Arranz, R.; Fontana, J.; Granzow, ; Risco, C. 2005. Virus factories: associations of cell organelles for viral replication and morphogenesis. Biol. Cell., 97:147-172.
- Phillips, R.; Jones, R.; Cline, G. 2008. Controlling PCV2 and coinfection to reduce the impact of PCV2 in growing pigs. En: Proceedings 20 IPVS Congress. Durban, South Africa. Oral Proc., 59 p.(Abstr.).
- Risco, C.; Romero, M.A. Bosch, C.; Pinto da Silva, P. 1994. Type II pneumocytes revisited: intracellular membranous systems, surface characteristics, and lamellar body secretion. Lab. Invest., 70:407-417.
- Rodriguez-Cariño C.; Segalés J. 2009. Ultrastructural findings in lymph nodes from pigs suffering from naturally occurring postweaning multisystemic wasting syndrome. Vet. Pathol. En Prensa.
- Rossell, C.; Segalés, J.; Plana-Durán, J.; Rodríguez-Arrioja, G.; Kennedy, S.; Allan, G.; Mcneilly, F.; Latimer, K.; Domingo, M. 1999. Pathological immunohistochemical, and in situ hybridization studies of natural cases of post-weaning multysistemic wasting syndrome (PMWS) in pigs. J. Comp. Pathol., 120:59-78.
- Rossell, C.; Segalés, J.; Plana-Durán, J.; Balasch, M.; Rodríguez-Arrioja, G.; Kennedy, S.; Allan, G.; Mcneilly, F.; Latimer, K.; Domingo, M. 2000. Identification of porcine circovirus in tissues of pigs with porcine dermatitis and nephropathy syndrome. Vet. Rec., 146:40-43.
- Rovira, A.; Balasch, M.; Segalés, J.; García, L.; Plana-Durán, J.; Rossell, C.; Ellerbrok, H.; Mankertz, A.; Domingo, M. 2002. Experimental inoculation of conventional pigs with porcine reproductive and respiratory syndrome virus and porcine circovirus 2. J. Virol., 76:3232-3239.
- Sarli, G.; Mandrioli, M.; Laurenti, M.; Sidoli, L.; Cereti, C.; Rolla,G.; Marcato, P.S. 2001. Histological classification in PMWS lesions. Vet. Immunol. Immunopathology, 83:53-67.
- Salanueva, I.J.; Novoa, R.R.; Cabezas, P.; López-Iglesias, C.; Carrascosa, J.L.; Elliot, R.M.; Risco, C. 2003. Polymorphism and structural maturation of bunyamwera virus in Golgi and post-Golgi compartments. J. Virol., 77:1368-1381.
- Scott, D.; Pitkin, A.; Deen, J. 2008. Use of an aerosol transmission model to evaluate airborne spread and biosecurity of PCV2. En: Proc. 20th of the IPVS Congress. Durban, South Africa. Oral Proc., 59 p. (Abstr.).
- Segalés, J.; Sitjar, M.; Domingo, M.; Dee, S.; Del Pozo, M.; Noval, R.; Sacristán, R.; De Las Heras, A.; Ferro, A.; Latime, K.S. 1997. First report of postweaning multisystemic wasting syndrome in Pigs in Spain. Vet. Rec., 141:600-601.
- Segalés, J.; Clark, E.G. 2002. Inmunostimulation and inmunosuppresion:Two faces of the same coin. En: PMWS and PCV2 diseases beyond the debate. Merial Simposium17th. IPVS Congress. Ames. Iowa. USA. pp. 33-43.
- Segalés, J.; Domingo, M. 2002. Porcine circovirus type 2 infection: postweaning multisystemic wasting syndrome and other condition. En: Proceedings of 17th IPVS Congress. Iowa State University. Ames. Iowa. USA.1:35-43.
- Sierra, M.A.; De Las Mulas, J.M.; Molenbeek, R.F.; Van Manen, C.; Vos, J.H.; Quezada, M.; Bruys, E. 1997. Porcine inmune complex glomerulonephritis dermatitis (PIGD) syndrome. Vet. Pathol., 3:63- 70.
- Sogbe, E.J.; Segalés, J.; Utrera, V.; Díaz, C.T.; Cano, J.P.; Rodríguez-Cariño,C.; Rodríguez-Arrioja, G.; Ascanio, E.; Zerpa, H. 2003. Primer reporte del Síndrome de emaciación multisistémico en Venezuela. Rev. Fac. Cs. Vets. UCV, 44:49-57.
- Sogbe, E.J.; Díaz, C.T.; Rodríguez-Cariño, C.; Segalés, J.; Utrera, V.; Ascanio, E. 2008. Histopathologic findings, in situ hibridization and ultrastructural study of porcine multisystemic wasting sindrome in several pig farms in Venezuela. En: Proceedings of 20th IPVS Congress. Durban. South Africa. 2:552. (Abstr.).
- Sorden, S.D. 2000. Update on porcine circovirus and postweaning multisystemic wasting syndrome (PMWS) Swine Health and Production. 8:133-136.
- Stevens, A.; Lowe, J. 1998. Histología Humana. 2dª. Edición, Edit. Harcrout-Brace. España. pp 1-8.
- Stevenson, G.W.; Kiupel, M.; Mittal, S.K.; Kanit C.L. 1999. Ultrastructure of porcine circovirus in persistenly infected PK-15 cells. Vet. Pathol., 36:368-378.
- Zlotowsky, P.; Correa, A.M.; Barcellos, D.; Driemeier, D. 2008. Presence of PCV2 in ear lesions of pigs in Brasil. En: Proceedings of 20th IPVS Congress. Durban. South Africa. 2:38. (Abstr.).
- Wallgreen, P.; Brunborg, I.M.; Blomqvist, B.; Lium, B.; Wikstrom, A.; Jorgensen, E.; Merlot, L.; Eliasson-Selling, L.; Fossum, C.; Monceyron, J. 2008. PCV2 and PMWS in fattening herds. En: Proceedings of 20th. IPVS Congress. Durban. South Africa. 2:22. (Abstr.).