Explorar

Anunciar en Engormix

Duraznillo Blanco: Análisis detallado de 23 brotes de Calcinosis Enzoótica y el desafío del "enemigo silencioso" en la ganadería argentina

Publicado: 18 de noviembre de 2025
Fuente: Ernesto Odriozola
Un exhaustivo estudio retrospectivo liderado por el equipo de especialistas del Instituto de Innovación para la Producción Agropecuaria y el Desarrollo Sostenible (IPADS) y el INTA Balcarce-CONICET ha arrojado nueva luz sobre una problemática histórica pero persistentemente dañina: la Calcinosis Enzoótica (CE). La investigación, encabezada por Emiliano Sosa junto a Germán José Cantón, Facundo Urtizbiria, Eleonora Morrell, María Valeria Scioli, Ernesto Odriozola y Juan Agustín García, fue publicada recientemente en el Brazilian Journal of Veterinary Medicine (2025, 47, e005425, DOI: 10.29374/2527-2179.bjvm005425).
Este trabajo no solo confirma la vigencia del Solanum glaucophyllum (vulgarmente conocido como "duraznillo blanco") como el agente causal dominante en la región central de Argentina, sino que desglosa la epidemiología, la presentación clínica y los desafíos diagnósticos de 23 brotes registrados a lo largo de 34 años (1990-2024). El análisis ofrece herramientas críticas tanto para el veterinario de campo como para el productor que busca minimizar pérdidas en sistemas pastoriles y de confinamiento.
Estacionalidad y Factores de Riesgo: Más allá del azar El análisis epidemiológico de los datos revela patrones claros que permiten predecir y prevenir la aparición de cuadros clínicos. Los investigadores observaron una marcada estacionalidad: el 56,52% de los brotes se concentraron entre febrero y mayo (finales de verano a mediados de otoño).
La explicación técnica radica en la dinámica forrajera: el consumo de S. glaucophyllum suele intensificarse en épocas secas o cuando la disponibilidad de forraje de calidad disminuye (invierno o verano), lo que obliga a los animales a pastorear en zonas bajas e inundables donde la planta es endémica. Además, la intoxicación afecta predominantemente a sistemas de cría (78,2% de los casos), con un impacto mayor en vacas multíparas. Esto sugiere que la enfermedad es a menudo el resultado de una exposición acumulativa a lo largo de la vida productiva del animal, aunque también se registraron casos en animales jóvenes (vaquillonas, novillos y terneros).
Alerta para el Feedlot: El peligro del forraje conservado Si bien la CE es clásicamente una enfermedad de pastoreo extensivo, el estudio destaca un hallazgo crucial para los sistemas intensivos: la toxicidad persiste en la planta seca. Se documentó un brote específico en un feedlot donde los novillos consumieron heno de festuca contaminado con abundantes hojas y plantas enteras de S. glaucophyllum.
Este dato derriba el mito de que el proceso de henificación elimina el riesgo. El principio tóxico (calcitriol, un análogo de la vitamina D3) mantiene su actividad biológica, provocando cuadros graves incluso en animales confinados que nunca pisaron un bajo inundable. Esto obliga a replantear los controles de calidad en la compra y confección de reservas forrajeras provenientes de zonas endémicas.
Duraznillo Blanco: Análisis detallado de 23 brotes de Calcinosis Enzoótica y el desafío del
[Figura 1: Hallazgos epidemiológicos y clínicos. A) Plantas de duraznillo blanco en el potrero. B) Emaciación y cifosis en bovino afectado. C) Aorta mineralizada. D) Placas en endocardio.]
El Cuadro Clínico y la "Punta del Iceberg" La morbilidad promedio registrada fue del 13,75%, con una mortalidad del 4,22%. Sin embargo, los autores advierten que estos casos clínicos representan solo "la punta del iceberg". Es muy probable que exista un subdiagnóstico significativo y que las pérdidas subclínicas (productivas y reproductivas) sean mucho mayores a las reportadas, debido a la mineralización leve en animales que no llegan a manifestar síntomas evidentes pero ven comprometida su fisiología.
El signo clínico universal, presente en el 100% de los brotes estudiados, fue la emaciación progresiva. Otros signos frecuentes incluyeron:
  • Rigidez en la marcha (50%).
  • Dificultad para incorporarse (46,15%).
  • Cifosis o arqueamiento del lomo.
  • Diarrea y, en casos raros, disnea o muerte súbita.
La Trampa del Diagnóstico Serológico Uno de los aportes más valiosos del estudio para la comunidad veterinaria es la discusión sobre la utilidad de los análisis de laboratorio. Se analizaron muestras de suero de 54 animales afectados y los resultados fueron contraintuitivos:
  • Los niveles de Calcio (Ca) se mantuvieron dentro de los rangos de referencia en promedio.
  • Los niveles de Fósforo (P) solo se mostraron elevados en un 37% de las muestras.
Los autores explican que la normocalcemia y normofosfatemia en animales clínicamente enfermos se debe a que, para el momento en que se toman las muestras (cuando el animal ya está emaciado y rígido), el consumo de la planta probablemente cesó días o semanas antes. Por lo tanto, un perfil mineral normal no descarta la enfermedad. El diagnóstico debe basarse en la anamnesis, la identificación de la planta en el potrero (o en el heno) y la patología.
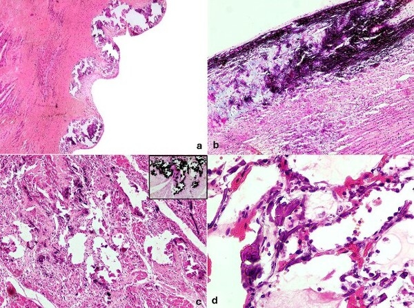
Patología: La huella indeleble de la mineralización Las necropsias confirmaron que el daño tisular es severo e irreversible. En los 30 animales necropsiados se observó mineralización sistémica de los grandes vasos. La aorta y las arterias carótidas son las más afectadas, perdiendo su elasticidad y presentando placas blanquecinas, rugosas y elevadas, que a menudo coalescen.
A nivel microscópico, se describió una mineralización difusa severa de las capas íntima y media de la aorta, y frecuentemente metaplasia osteocondroide. El corazón también se vio comprometido en gran parte de los casos, con mineralización de las válvulas y el endocardio. Estas lesiones explican la insuficiencia cardiovascular y la pobre condición corporal que no responde a tratamientos nutricionales o antiparasitarios.
Duraznillo Blanco: Análisis detallado de 23 brotes de Calcinosis Enzoótica y el desafío del
[Figura 2: Hallazgos microscópicos. A y B) Mineralización severa de la capa íntima y media de la aorta. C) Mineralización de miofibrillas en el corazón. D) Mineralización intra-alveolar en pulmón.]
Conclusión y Manejo El estudio concluye enfatizando que, al no existir tratamiento curativo para revertir la calcificación de tejidos blandos, la única herramienta real es la prevención. Esto implica un manejo dinámico del pastoreo para excluir las zonas de S. glaucophyllum durante las ventanas críticas y la inspección rigurosa del forraje conservado.
Considerando que la "ausencia de la planta" es difícil de lograr en zonas endémicas y que los perfiles minerales sanguíneos no son una alerta temprana confiable, ¿qué indicadores de campo o prácticas de monitoreo utilizan ustedes para decidir el momento exacto de retirar la tropa de un lote "sucio" antes de que el daño subclínico se vuelva irreversible?
Temas relacionados:
Autores:
Ernesto Odriozola
Instituto Nacional de Tecnología Agropecuaria - INTA
Instituto Nacional de Tecnología Agropecuaria - INTA
Juan Agustín García
Instituto Nacional de Tecnología Agropecuaria - INTA
Instituto Nacional de Tecnología Agropecuaria - INTA
Eleonora Morrell
Instituto Nacional de Tecnología Agropecuaria - INTA
Instituto Nacional de Tecnología Agropecuaria - INTA
Emiliano Sosa
Instituto Nacional de Tecnología Agropecuaria - INTA
Instituto Nacional de Tecnología Agropecuaria - INTA
Germán José Cantón
Instituto Nacional de Tecnología Agropecuaria - INTA
Instituto Nacional de Tecnología Agropecuaria - INTA
Mostrar más
Recomendar
Comentar
Compartir
Ramon Noseda
Laboratorio Azul
20 de noviembre de 2025

Celebramos haber evaluado esta enfermedad que en la década del 60/70 marcó una verdadera posibilidad de mostrar la verdadera causa de su origen. También en ese momento una gran discusión sobre su cura o no aplicando inyectables "Ficocoloides Quelatados" marcó una tendencia de interminables discusiones sin sentido. Los animales no curaban sus lesiones de calcionosis de las arterias, venas, pulmones, etc. Pero si real que los animales mejoraban su estado general, aumentaban de peso y podían venderse.

Recomendar
Responder
Marcelo Rojas Panelo
20 de noviembre de 2025
Muy bueno el comentario Ramón. Una pregunta . Cuando decís que mejoran si estado , engordaban y podían venderse, supongo que lógicamente sacándolos de esos porteros ?
Tuve experiencia con vacas en un campo con mucho Duraznillo , durante algunos años, que apenas los veíamos con síntomas, lad cambiababamos de potrero y lograbamos preñarlas bien
Recomendar
Responder
Profile picture
¿Quieres comentar sobre otro tema? Crea una nueva publicación para dialogar con expertos de la comunidad.
Usuarios destacados en Lechería
Guillermo Schroeder
Guillermo Schroeder
Cargill
Cargill
Estados Unidos de América
Andres Sabele
Andres Sabele
dsm-Firmenich
Estados Unidos de América
Ariel Lola
Ariel Lola
MSD - Merck Animal Health
Gerente Comercial Cerdos Región Sur
Estados Unidos de América