Explorar

Anunciar en Engormix

Perú - Integridad intestinal en Ponedoras: Uso de extractos cítricos

Publicado: 18 de febrero de 2021
Por: Hugo Gargaglione, Engormix.com / Repositorio Digital, Universidad Privada Antenor Orrego
La evaluación del efecto de los extractos de cítricos sobre la integridad intestinal en gallinas ponedoras fue el objetivo de la investigación realizada por Oscar Anibal Contreras Vasquez para obtener el título profesional de: Medico Veterinario Zootecnista en la Escuela Profesional de Medicina Veterinaria y Zootecnia, Facultad De Ciencias Agrarias, Universidad Privada Antenor Orrego (Trujillo, Perú).

En su introducción el autor, que ocntó con la asesoría de César Eduardo Honorio Javes, señala que en la actualidad, la producción avícola está teniendo un gran crecimiento en nuestro país; siendo así que, en el año 2019 la producción de aves incrementó un 4.5% y huevos en un 8.0% a nivel nacional comparado con el año anterior (MINAGRI, 2019). Dicho aumento se debe a un alto consumo de huevos de la población peruana, a tal punto que consumo per cápita de huevo anual se elevó de 224 en el año 2018 a 239 huevos en el 2019 (MINAGRI, 2019). Además, para aumentar la producción, en avicultura se utilizan antibióticos como promotores de crecimiento (Apata, 2009).

Sin embargo, la utilización de antibióticos como promotores de crecimiento (APC) ha sido cuestionada por la comunidad científica, puesto que su empleo ha tenido graves consecuencias como la resistencia microbiana (Zwe y otros, 2018; Assafi y otros, 2020). Por esta razón, la Comunidad Europea prohibió el uso de APC en animales de abasto generando (ESVAC, 2017) con ello la búsqueda de sustitutos de estos antibióticos y de este modo mantener una alta productividad a bajo costo, ofreciendo producto de buena calidad.

Por tal motivo, se ha estudiado a los nutracéuticos como: prebióticos, probióticos, simbióticos, extractos de plantas, aceites esenciales (AEs) y ácidos orgánicos; para mejorar la salud de los animales, reducir las bacterias patógenas y modular la respuesta inmunitaria (Sugiharto, 2016). Sin embargo, los extractos de plantas, los aceites esenciales (AEs) y las especias llevan mayor tiempo siendo empleados en medicina humana que en animales (Kamel, 2000).
Como alternativa se plantea el uso de extractos de cítricos puesto que actúan como promotor de crecimiento natural, controlando a los microorganismos patógenos manteniendo el equilibrio de la microbiota (Steiner, 2006).

El presente trabajo se justifica, puesto no existen trabajos sobre extractos cítricos ni POS en gallinas de postura en Perú, teniendo como objetivo evaluar el efecto de los extractos cítricos sobre la integridad intestinal en gallinas ponedoras de la línea Hy-line Brown de 50 semanas de edad.
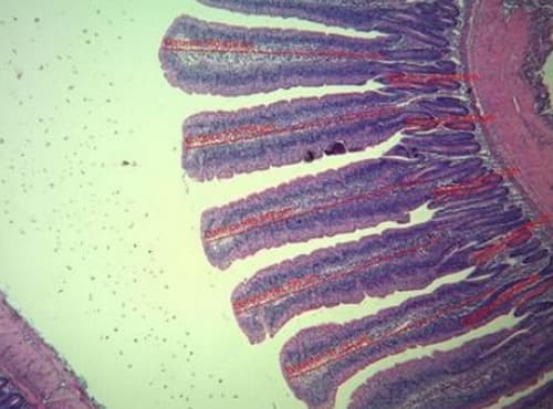
Para la investigación se utilizaron 448 en gallinas ponedoras de la línea Hy-line Brown de 50 semanas de edad. Las cuales fueron distribuidos a través de un diseño completamente al azar con dos tratamientos y ocho repeticiones: dieta base (DB) y dieta base más extracto cítricos (DBEC) siendo la unidad experimental de 28 gallinas ponedoras (cuatro jaulas de siete aves). Las dietas fueron formuladas para satisfacer los requerimientos nutricionales de gallinas ponedoras de la línea Hy-line Brown en postura comercial fase dos, las cuales tuvieron el mismo aporte nutricional y energético. Los resultados fueron analizados mediante el análisis de varianza (ANOVA) y los promedios comparados con la prueba de Tukey. Los resultados de la integridad intestinal, altura de vellosidades, profundidad de cripta y relación vellosidad/cripta en la porción Yeyuno en la porción de 25% e íleon 50% en gallinas ponedoras de 56 semanas de edad; tuvieron diferencia significativa (P>0.05), a favor de la dieta que uso extractos cítricos (DBEC), teniendo valores de 890.70 y 277.15 μm. y relación V/C de 3.21 para la porción del Yeyuno 25% y 773.16 y 173.45 μm. y la relación V/C de 4.46, para la porción de íleon 50%. Por lo tanto se concluye que el uso de extractos cítricos en las dietas de gallinas ponedoras mejora la integridad intestinal.
Perú - Integridad intestinal en Ponedoras: Uso de extractos cítricos - Image 1
Intervalos de medida de altura de vellosidades y profundidad de cripta, en el tratamiento con dieta base más ácido cítrico en gallinas ponedoras a las 56 semanas de edad. Al 50% del Yeyuno
Consultar por esta noticia
Fuente
Hugo Gargaglione, Engormix.com / Repositorio Digital, Universidad Privada Antenor Orrego
Temas relacionados:
Mencionados en esta noticia:
Oscar Anibal Contreras Vasquez
Universidad Privada Antenor Orrego
Universidad Privada Antenor Orrego
Cesar Eduardo Honorio Javes
Recomendar
Comentar
Compartir
Profile picture
¿Quieres comentar sobre otro tema? Crea una nueva publicación para dialogar con expertos de la comunidad.
Usuarios destacados en Avicultura
Fernanda Lima de Souza Castro
Fernanda Lima de Souza Castro
Cargill
Cargill
Gerente de serviços técnicos
Estados Unidos de América
Ana Maria Villegas-Gamble
Ana Maria Villegas-Gamble
Pilgrim´s
DVM, MS, Ph.D. / Directora de Nutrición
Estados Unidos de América
Jose Salazar
Jose Salazar
Grupo Nutec
Estados Unidos de América