En la producción de frutales en Venezuela, los cítricos están en el segundo lugar de importancia luego del rubro musáceas (bananos y plátanos). Tal es el caso que para el año 2015, la producción del rubro naranja fue de 429.296 toneladas; cosechadas en 30.402 hectáreas. (MAT 2010-2015). No obstante, actualmente existe una enfermedad que está afectando a los cítricos y causando graves pérdidas en países cercanos al nuestro. Esta enfermedad es causada por una bacteria gran negativa, Candidatus liberibacter spp. Han sido reportadas 3 variantes: "Candidatus Liberibacter asiaticus" , "Candidatus Liberibacter africanus" y "Candidatus Liberibacter americanus". Sus principales vectores son Diaphorina citri que transmite las variantes asiática y americana de la enfermedad y Trioza erytreae que transmite la africana. La enfermedad fue descrita por primera vez en China en 1943. Afecta diversas especies de plantas del género Citrus entre los más importantes están, limón, naranja y mandarina (Chiou-Nan, 1998; Costa, 2005).

Figura 2: Cortes transversales a mano alzada de peciólos de hojas sintomáticas y asintomáticas y comparación de los síntomas de los cambios histológicos descritos en la literatura. Esquivel-Chávez y otros, 2012.
Síntomas
Los síntomas son variados, en los estados avanzados de la enfermedad pueden observarse hojas de color amarillo pálido con áreas de color verde irregulares (moteado) asimétricas, defoliación, engrosamiento y aclaración de las nervaduras, asimetría y difusión de colores en las nervaduras y foliolos, hojas pequeñas, rectas (Cohelo y Marques, 2002). El desarrollo de la raíz es afectado, en el floema se observan lesiones necróticas, acumulación de almidón; los frutos presentan deformación y asimetría, reducción del tamaño, aparición de manchas verde claras que contrastan con el verde normal del fruto (coloración irregular), caída prematura; la parte blanca de la cáscara (albedo) en algunos casos se presenta con un espesor mayor de lo normal. En un corte longitudinal del fruto, se observa una coloración amarilla anaranjada en los filamentos de la columela, tienen elevada acidez, baja proporción de jugo y bajo contenido de azúcar, por lo que resultan no aptos para el consumo (Garcia, 2006); en casos avanzados las plantas pueden morir.
Distribución
La distribución primaria se produjo en las regiones tropicales y subtropicales de Asia donde se cultivan cítricos excepto en Japón y el continente africano en Sudáfrica (Chiou, 1998; Cohelo y Marquez, 2002 y Costa, 2005). La enfermedad transmitida por D. citri fue informada en el estado de Sao Pablo, Brasil, en febrero del 2004 por primera vez para el hemisferio occidental y posteriormente se informó en el estado de la Florida (Teixeira, D y otros, 2008; Costa y Norma, 2005; Vaccaro, Norma y otros, 2006).
Epidemiología
El vector se alimenta de la planta y transmite la enfermedad. La bacteria circula por el floema y al tapar los vasos floemáticos impide la circulación de los nutrientes. El periodo de incubación de la enfermedad es de aproximadamente seis meses (García, 2006).
Diagnóstico
Actualmente se realiza a través de
- Métodos basados en la detección del patógeno o en la producción de anticuerpos.
- Métodos basados en los cambios histológicos producidos en el hospedante ante la presencia de la enfermedad.
Transmisión
La principal vía de transmisión de la bacteria en el campo es Mediante el insecto vector. Otra de las vías por las cuales se transmite el patógeno es mediante los injertos y por semillas.
Métodos de control
El tratamiento con antibióticos ha resultado una solución temporal. Hasta el momento no existe variedad de copa o porta injerto resistente a la enfermedad. Entre las prácticas de manejo tenemos: la producción de plantas de vivero (desde almácigo) bajo invernaderos con malla antipulgón, la detección temprana, la erradicación de plantas enfermas, el cultivo de una sola variedad de cítrico en el huerto, la reducción de operaciones de poda, el manejo de las poblaciones de insectos por medio del control químico y biológico y la eliminación de otras plantas hospedantes del vector. En el caso del control biológico el parasitoide Tamarixia radiata Waterston ha sido empleado con éxito en numerosos programas de control de D. citri, vector de la bacteria C. liberibacter spp., y se utiliza actualmente a escala mundial para la regulación de las poblaciones del fitófago; además, aunque no se comercializa aún, se produce en varios países: Taiwan, Brasil, Argentina, México y Venezuela. Así mismo, existe evidencia de la amplia distribución de este parasitoide en Venezuela, así como de su hospedero (Mario Cermeli, y otros, 2007).
Selección de muestras para despistaje de la enfermedad basados en los cambios histológicos producidos en el hospedante
La selección de las hojas es un paso crucial en el diagnóstico. De la misma forma que enviar cientos de hojas para análisis de PCR es ineficiente, para el análisis del almidón es también ineficiente el envío de hojas cuyos síntomas fácilmente pueden ser determinados como la causa de otras enfermedades que no son HLB.
- Seleccionar las hojas que muestran síntomas severos de HLB evitando tomar hojas con síntomas relacionados a otras enfermedades, como por ejemplo, deficiencias nutricionales.
- Seleccionar hojas de ramas sin deterioro físico, o sea ramas partidas o con daños en la corteza aún si no tienen HLB.
- Las hojas que están en las partes mas soleadas del árbol son mejores, tratar de no tomar hojas de las partes del árbol expuestas mayormente a la sombra .
- Analizar varias hojas que muestren síntomas similares. (Pedro C. González, y otros, 2009).
Es importante resaltar que:
La infección por HLB no es la única causa que puede inducir acumulación anormal de almidón en hojas de cítricos. Algunas especies (ejemplo Murcott) contienen niveles de almidón en las hojas algo superior a otras especies de cítricos.
Daños físicos en la planta ejemplo (daños en forma de anillos en la corteza, ruptura de ramas, picadas de insectos), que interrumpan el transporte de azúcares o foto asimilados en la planta pueden inducir una acumulación excesiva de almidón en las hojas de cítricos.
Enfermedades como Phytophthora pudieran también inducir una acumulación de almidón excesiva en hojas de cítricos.
Recomendaciones
Es importante comenzar con planes de diagnóstico epidemiológicos y muestreo para el descarte de la enfermedad sobre todo en las áreas donde existen altas poblaciones de los insectos vectores, así mismo, no esperar a que aparezca la enfermedad para empezar a realizar jornadas de concientización y de manejo. Se debe empezar desde ya, dado que la misma, se ha reportado en Brasil y es muy probable que tarde o temprano llegue al país.
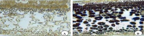
Figura 3: Cortes transversales a mano alzada de lámina foliar de plantas de cítricos sintomáticas y asintomáticas teñidas con iodo ioduro de potasio. A- lámina foliar de planta asintomática de la enfermedad. B- lámina foliar de planta sintomática positiva a la enfermedad.
Referencias
- Cermeli, M., Morales, P., Perozo, J. y Godoy. F. 2007. Entomotropica. Vol. 22 (3):181-184.
- Chiou-Nan Chen. 1998: Ecology of the Insect Vectors of Citrus Systemic Diseases and Their Control in Taiwan. En: www.agnet.org/library/ eb/459a/.
- Coelho, M.V. y Marques, A.. 2002. “Citrus greening” Uma bacteriose quarentenária que representa ameaça potencial à citricultura brasileira. Comunicado Técnico 58. Ministerio da Agricultura, Pecuária e Abastecimiento. 4 pp.
- Costa, Norma. 2005. Nueva enfermedad pone en riesgo a la citricultura argentina. En ASAPROVE, 5(21). En www.asaprove.org.ar.
- García, Clara. 2006. Huanglongbing (HLB- Greening). Dirección de Vigilancia y Monitoreo. En http:// www.senasa.gov.ar
- González, P., Etxeberria, E., Anchor, D., Albrigo, G., Dawson, W., Spann, T. y Yates, J.2009. Uso de la reacción Almidón-Yodo para la selección de hojas sospechosas de HLB. University of Florida. IFAS Research.