Explorar

Anunciar en Engormix
Special Nutrients
Contenido patrocinado por:
Special Nutrients

Enfermedades Intestinales: presencia de Isospora Suis en cerdos adultos

Publicado: 1 de octubre de 2021
Fuente: Margarita Trujano
Introducción
La coccidiosis está causada por parásitos que se multiplican dentro de las células hospedadoras, principalmente del tracto digestivo.
Hay tres especies de coccideos: Eimeria, Cryptosporidium e Isospora, siendo esta última la más patógena de las tres.
La enfermedad ocasionada por Isospora suis es común y presente a nivel mundial principalmente en lechones ocasiona desde diarreas leves hasta diarreas letales lo que produce reducción en la ganancia de peso y representa un alto costo de producción en la industria porcina (Meyer et al., 1999; Chae et al., 1998; Otten et al., 1996; Lindsay and Blagburn, 1994; Iglesias et al., 2000).
Estudios recientes en Europa, EE.UU., México y Australia indican que I. suis es el parásito más frecuente en lechones, la presencia de infección se asocia con diarrea (Driessen et al., 1993; Meyer et al., 1999., Iglesias et al 2000; Aliaga-Leyton et al. 2012)
Los oocistos, excretados por un animal infectado, dependen de la temperatura del medio ambiente para su proceso de maduración antes de que puedan infectar otros animales por vía oral.
  • La infestación con Isospora suis en cerdos daña el epitelio del intestino y con esto disminuye la absorción de nutrientes y ocasiona diarrea.
  • Además de la diarrea hay disminución en el crecimiento y la ganancia de peso de los cerdos (Lindsay et al. 1985).
  • La mortalidad ocasionada por esta infestación es baja por lo que no ha recibido la debida atención.
La enfermedad se presenta en cerdos lactantes y se reporta en varios países con importancia considerable.
El ciclo de la Isospora suis ocurre tanto dentro del animal huésped (ciclo endógeno) como en el medio ambiente (ciclo exógeno).
La enfermedad es común y generalizada en los lechones lactantes, pero se observa ocasionalmente en cerdos y jabalíes en crecimiento y finalización cuando son trasladados o alojados en corrales continuamente poblados e infectados. (Hill et al. 1985, Yaeger et al 2003).
Es producida por un protozoo intracelular – Isospora suis – que parasita al cerdo e invade el intestino delgado, donde se reproduce e invade las células epiteliales del intestino (Cordero del Campillo et al. 1999).
  • La infección se produce mediante la ingestión de ooquistes, que son eliminados por animales infectados, a veces asintomáticos, que esporulan en 12-48 horas, pueden mantenerse infectantes durante largos períodos de tiempo, incluso hasta un año, debido a las condiciones de temperatura y humedad de las salas de partos.
  • Luego de ingeridos, los ooquistes desenquistan en estómago por acción de los jugos digestivos y los esporozoitos pasan a la luz intestinal y penetran en los enterocitos donde inician el ciclo endógeno; realizan su reproducción sexual y asexual provocando disminución de la altura de las vellosidades y atrofia de las mismas lo que genera diarreas por síndrome de mala absorción.
  • Los ooquistes esporulados contienen dos esporocistos cada uno de los cuales lleva cuatro corpúsculos denominados esporozoitos. En el interior de las células intestinales, se generan nuevos ooquistes, empezando así un nuevo ciclo (Figura 1).
Enfermedades Intestinales: presencia de Isospora Suis en cerdos adultos - Image 1

Ciclo biológico de Isospora suis
Estudio de prevalencia de la infestación
El objetivo del estudio fue conocer la prevalencia de esta infestación en cerdos examinados en el matadero.
Materiales y métodos
Se recolectaron 120 muestras de Ileon que mostraran alimento sin digerir. Para histopatología se utilizó formol al 10% y otras 50 muestras frescas para raspados de mucosa que se colocaron en bolsas de plástico.
Las muestras de histopatología fueron coloreadas con HE y para los raspados de mucosa se utilizó GIEMSA.
Resultados
Las muestras recolectadas para raspados fueron con la finalidad de corroborar la presencia de Isospora suis.
De las 14 granjas examinadas 12 (85%) mostraron lesiones sugestivas de Isospora suis. El total de cerdos examinados fue de 630, presentando 120 (19%) lesiones al microscopio, con presencia de formas sugestivas de Isospora suis en diferentes fases del ciclo (Cuadro 1).
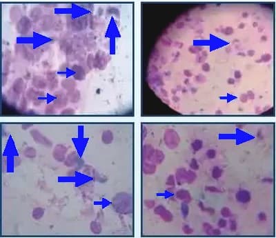
Las 50 (100%) muestras de raspados coloreadas con GIEMSA fueron positivas a Isospora suis; se observaron principalmente merozoitos, macrogametocitos (Fig. 2).
Enfermedades Intestinales: presencia de Isospora Suis en cerdos adultos - Image 2

Merozoitos (flechas gruesas) y Macrogametocitos (flechas delgadas) en raspados de Mucosa intestinal
Discusión
Los estudios realizados sobre Isospora suis en general han sido en lechones de maternidad y destete.
Los resultados del presente trabajo son indicativos de la presencia de Isospora suis en animales adultos. Estos resultados coinciden con lo reportado por Yaeger et al (2003), quienes encontraron infestación con Isospora suis en animales de pie de cría. En este mismo estudio Yaeger et al (2003) se encontró que los animales de alto estatus sanitario son más vulnerables a una parasitosis si en las instalaciones se encuentran presentes oocistos de Isospora suis.
Además, comprobaron que bajo ciertas condiciones como altas temperaturas y granjas en donde los animales no han tenido contacto con los parásitos al ser movidos a corrales con oocistos en el ambiente se observa diarrea y en ocasiones muerte de animales adultos.
GranjasCerdos examinadosLesiones I. Suis HP
 1455
 2450
 345 10
 445 8
 545 15
 645 18
 745 10
 845 0
 945 15
 1045 7
 1145 12
 1245 10
 1345 5
 1445 5
 Total630120
 De las 14 granjas examinadas, 12 mostraron por Histopatología formas de Isospora suis
Las condiciones de salud en Sonora, así como las altas temperaturas, representan de acuerdo a lo descrito por otros autores como Yaeger et al (2003) un ambiente ideal para la presencia de Isospora. Sus oocistos pueden encontrarse en pisos e instalaciones.
En animales jóvenes, debe sospecharse de Isospora suis si existe un problema de diarrea en los lechones de 7 a 21 días de edad que no responde a tratamiento con antibióticos.
Conclusiones
  • Se comprobó la presencia de Isospora suis en animales adultos.
  • Animales de alto estatus sanitario son más vulnerables a una parasitosis si en las instalaciones, pisos, se encuentran presentes oocistos de Isospora suis.
  • En altas temperaturas y granjas en donde los animales no han tenido contacto con los parásitos al ser movidos a corrales con oocistos en el ambiente se observa diarrea, alimento sin digerir.
  • Cuando existen diarreas en animales de engorde sin respuesta a tratamiento con antibiótico es posible la implicación de Isospora suis.

Previamente publicado en nutrinews y por gentileza de Special Nutrients se reproduce en Engormix
Temas relacionados:
Autores:
Margarita Trujano
UNAM México
UNAM México
Recomendar
Comentar
Compartir
Profile picture
¿Quieres comentar sobre otro tema? Crea una nueva publicación para dialogar con expertos de la comunidad.
Usuarios destacados
Manuel Contreras
Manuel Contreras
Special Nutrients
Special Nutrients
DVM, MS, Diplomate ACPV Director técnico veterinario
Estados Unidos de América
Eddie Ruiz De Pellon
Eddie Ruiz De Pellon
Special Nutrients
Special Nutrients
Gerente General
Estados Unidos de América
Fernando Tamames
Fernando Tamames
Special Nutrients
Asesor
Estados Unidos de América