Explorar

Anunciar en Engormix

Complicaciones de fracturas reparadas con placas y tornillos

Publicado: 18 de septiembre de 2014
Fuente: Fernando Díaz Santiago (Clínica veterinaria Fauna, España)
Solución de fracturas complicadas
Son numerosas las consultas por fracturas óseas. Unas veces se solucionan en la primera intervención veterinaria, pero en otras ocasiones necesitan de un segundo abordaje para subsanar los diferentes problemas que pueden surgir. A continuación, el especial de este mes recoge las complicaciones que pueden darse en las fracturas reparadas con placas y tornillos, cuáles son las evoluciones anormales más frecuentes en las fracturas antiguas y las principales consideraciones de la traumatología en aves.
En la actualidad el uso de placas y tornillos como implantes para la resolución de fracturas en veterinaria es un método habitualmente utilizado por traumatólogos, dados sus buenos resultados en la fijación y estabilización del foco de fractura. Aun siendo un excelente método de fijación no está exento de posibles complicaciones, a continuación se describen las más habituales.
Teniendo en cuenta todas las posibilidades que ofrecen estos materiales en la traumatología, se han llegado a desarrollar placas específicas tanto para el tratamiento de determinadas fracturas (acetabulares, radio distal, fémur distal, etc.) como para todo tipo de cirugía ortopédica (triple osteotomía pélvica, osteotomía de nivelación tibial, artrodesis, etc). Pero aunque representan un método excelente de fijación y reparación, pueden conllevar complicaciones como:
  •  Rotura de implantes y/o aflojamiento de tornillos.
  •  Sobreprotección del foco de fractura “stress protection”.
  •  Configuración ósea alterada.
  •  Osteomielitis.
  •  Malaunión.
  •  Retraso de la consolidación.
  •  No-unión.
Enfermedad de la fractura.
Fracturas asociadas a osteosarcomas.
En algunos casos especiales se puede llegar a encargar al fabricante el implante a medida para un caso concreto.
Lo primero que tendremos que hacer cuando nos encontremos con una complicación es investigar la posible causa del fracaso. Muy frecuentemente se producen a consecuencia de situaciones como: violación de los principios ortopédicos, propietarios irresponsables que no siguen las instrucciones posoperatorias, animales de carácter incontrolable o factores biológicos adversos en la cicatrización. Cualquiera de las situaciones anteriores puede conducir a complicaciones, pero la situación se agrava cuando existe una combinación de ellas.
Errores más comunes
Los errores más comunes asociados a la aplicación técnica de las placas y tornillos tienen que ver con la biomecánica de los implantes. Siempre que una fractura es reparada mediante el uso de un implanteortopédico se establece una competición entre el tiempo necesario para la consolidación de la fractura y la vida útil de los implantes, sin que éstos lleguen a perder su capacidad de fijación.
Entre otros factores que se relacionan con fracasos de biomecánica de las fracturas destacan:
  •  Selección de implantes no adecuada.
  •  Número inadecuado de implantes.
  •  Fijación inapropiada de los tornillos.
  •  Tornillos o placas mal posicionadas.
  •  Deficiente contorneado de las placas.
Las complicaciones asociadas a una mala técnica quirúrgica son las más frecuentes.
Cuando la superficie global de hueso lo permita se deben aplicar un mínimo de tres tornillos a cada lado del foco de fractura
Elección de la placa y disposición de los tornillos
La elección de una placa demasiado pequeña tanto en longitud como perfil puede conducir fácilmente a la rotura del implante. Cuando la superficie global de hueso lo permita se deben aplicar un mínimo de tres tornillos a cada lado del foco de fractura. Si la fractura es muy próxima a una articulación es posible que no se pueda aplicar esta regla, sencillamente por no existir suficiente longitud de hueso. En estos casos, al menos dos tornillos deben ser emplazados próximos a la articulación.
Desde un punto de vista comercial cada vez es mayor la disposición de placas específicas para la resolución de fracturas concretas. En algunos casos especiales se puede llegar a encargar al fabricante el implante a medida para un caso concreto, pues factores como la longitud, el perfil, la forma o el número y disposición de tornillos se deben tener en cuenta cuando se planifica la resolución de las fracturas con placas de osteosíntesis.
La disposición de los tornillos dentro de la placa también es muy importante de cara a valorar la resistencia a la fatiga de la placa. En estudios experimentales se ha comprobado que si en una placa se eliminan los dos tornillos próximos al foco de fractura se reduce su rigidez en un 35%. Si además de eliminar los dos tornillos anteriores existe un defecto óseo en el foco de fractura la estabilidad se reduce hasta en un 60%. Si se deja un orifico de una placa vacío se va a convertir en un área de concentración de fuerzas de estrés con la consiguiente fatiga del material.
El aflojamiento precoz de los tornillos puede asociarse a alteraciones de la técnica quirúrgica, exceso de carga mecánica por parte del paciente o densidades óseas alteradas, como en el caso de huesos de naturaleza esponjosa u osteoporosis.    Cuando un cirujano se encuentra con una fractura conminuta, en la que no es posible la aplicación de tornillos, puede optar por usar una placa de elongación (parte central maciza) y aumentar de esta forma la resistencia global.
El tamaño de la placa determina su resistencia física frente a la carga. Como datos a tener en cuenta, una miniplaca AO para tornillos de 2 mm tiene un máximo tensil de 50 kg frente a 7.500 kg que presenta una placa ancha para tornillos de 4,5 mm. En la selección adecuada de una placa se debe tener en cuenta el tipo de hueso afectado y el peso del animal (ver tabla)
Complicaciones de fracturas reparadas con placas y tornillos - Image 1
Las superficies metálicas sirven de albergue a los gérmenes y dificultan la actuación de los agentes antimicrobianos, por lo que en muchos casos clínicos es necesario retirar los implantes para poder tratar adecuadamente la infección.
La longitud del hueso desde la fractura hasta la articulación actúa como brazo de palanca. En animales de huesos largos este efecto de brazo de palanca puede ser suficientemente importante como para fatigar la placa. En estos casos puede ser necesario añadir más de tres tornillos a cada lado del implante.
En el caso particular de las fracturas de radio, hay autores que demuestran ventajas biomecánicas con la aplicación de la placa en su cara medial frente a la tradicional aplicación craneal. Estas ventajas son: mayor resistencia del implante, corticales más anchas en sentido medio-lateral, menor molestia en las inserciones tendinosas extensoras y menor agresividad de los tornillos, a nivel vascular, por ocupar menos superficie ósea y no invadir el espacio interóseo radio-cubital.
El aflojamiento precoz de los tornillos puede asociarse a alteraciones de la técnica quirúrgica, exceso de carga mecánica por parte del paciente o densidades óseas alteradas, como en el caso de huesos de naturaleza esponjosa o animales con osteoporosis (enfermedades renales, tumores, síndrome de Cushing, malnutrición, etc.).
Alteraciones de la configuración ósea
Las alteraciones de la normal configuración ósea pueden ser importantes cuando se utilizan placas de gran longitud y, sobre todo, si no se contornean de forma adecuada al perfil de la superficie ósea.
En ocasiones placas mal posicionadas pueden causar alteraciones en la normal disposición anatómica del miembro.
Para realizar un contorneado adecuado de la placa en relación al hueso fracturado, se puede recurrir a un moldeado previo de la placa elegida según las imágenes radiográficas del miembro sano y en la proyección anatómica necesaria. Otra ayuda con la que cuenta el cirujano para lograr un correcto contorneado de la placa es la utilización de plantillas de aluminio para descubrir el perfil de la superficie ósea en el que vamos a aplicar nuestra placa.
Cuando un implante fracasa, en primer lugar se debe tratar de identificar el causante del problema. En este momento es importante establecer un plan para la resolución de la complicación e intentar que no vuelva a ocurrir.
Si el problema tiene relación con un propietario descuidado o un animal incontrolable, se deben adoptar barreras físicas oportunas. Si el problema se relaciona con tornillos o placas que se rompen, o de características inapropiadas (p. ej.: estrechas, cortas, etc.), es necesario replantear la cirugía. Cuando después de fijar una fractura con una placa de osteosíntesis la estabilidad mecánica obtenida no se juzgue suficiente, en algunos casos se puede combinar con una aguja intramedular, tornillos de tracción, cerclajes ortopédicos o incluso en ocasiones una segunda placa.
Infección bacteriana
El crecimiento bacteriano asociado a las placas es también una complicación frecuente en este tipo de intervenciones y en la mayoría de ocasiones muy grave.
En estudios experimentales se ha comprobado que si en una placa se eliminan los dos tornillos próximos al foco de fractura se reduce su rigidez en un 35%.
La osteomielitis asociada a implantes metálicos retrasa y dificulta la cicatrización de la fractura, llegando en determinadas situaciones a estresar el implante y provocar su rotura. La contaminación de una placa puede producirse en el momento de su aplicación pero también hay ocasiones en que estas contaminaciones pueden aparecer diferidas en el tiempo. La presencia de osteomielitis agresiva, asociada a una placa, puede provocar retrasos importantes de la cicatrización o incluso terminar en un proceso de no-unión de dicha fractura.
En otras ocasiones las infecciones que se asocian a las placas cursan de forma subclínica con infecciones de bajo grado y, pese a existir una correcta consolidación de la fractura, el animal parece tener molestias como episodios de cojera, lamido de la zona de piel directamente afectada, seromas, etc.
Las superficies metálicas sirven de albergue a los gérmenes y dificultan la actuación de los agentes antimicrobianos por lo que en muchos casos clínicos es necesario retirar los implantes para poder tratar adecuadamente la infección.
 
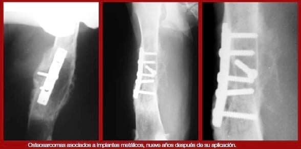
Osteosarcomas
La aparición de osteosarcomas asociados a placas es una complicación poco frecuente en traumatología veterinaria. Se han descrito casos de aparición de osteosarcomas en focos de fractura, normalmente varios años después de la aplicación de implantes metálicos, y hay autores que proponen la relación entre infecciones subclínicas de implantes metálicos y la aparición de tumores.
Históricamente la AO ha recomendado la retirada de todas las placas de los huesos. Desde un punto de vista clínico, las placas deben ser retiradas en casos de osteomielitis, dolor a la palpación de la placa, cojeras inexplicables asociadas al implante y osteopenia radiográficamente aparente asociada a la placa.
 
 
Complicaciones de fracturas reparadas con placas y tornillos - Image 6
Complicaciones de fracturas reparadas con placas y tornillos - Image 7
Complicaciones de fracturas reparadas con placas y tornillos - Image 8
Complicaciones de fracturas reparadas con placas y tornillos - Image 9
Complicaciones de fracturas reparadas con placas y tornillos - Image 10
Complicaciones de fracturas reparadas con placas y tornillos - Image 11
Complicaciones de fracturas reparadas con placas y tornillos - Image 12
1- Un caso de osteomielitis crónica reactiva de bajo grado, en el que fue necesario retirar la placa cinco años después de la cirugía. 2- Alteración de la configuración ósea
Bibliografía
Sardinas J.C., Montavon P.M. Use of a medial bone plate for repair of radius and ulna fractures in dogs and cats: a report of 22 cases. Vet Surg. 1997 Mar- Apr;26(2):108-13.
Olmstead M.L. Complications of fractures repaired with plates and screws. Vet Clin North Am Small Anim Pract. 1991 Jul;21(4):669-86. Review.
Hulse D., Hyman B. Biomechanics of fracture fixation failure. Vet Clin North Am Small Anim Pract.
1991 Jul;21(4):647-67. Review. Conzemius M., Swainson S. Fracture fixation with screws and bone plates. Vet Clin North Am Small Anim Pract. 1999 Sep;29(5):1117-33,vi. Review. Saikku-Backstrom A., Raiha J.E., Valimaa T., Tulamo RM. Repair of radial fractures in toy breed dogs with self-reinforced biodegradable bone plates, metal screws, and light-weight external coaptation. Vet Surg. 2005 Jan-Feb;34(1):11-7.
Smith M.M., Vasseur P.B., Saunders H.M. Bacterial growth associated with metallic implants in dogs. J Am Vet Med Assoc. 1989 Sep 15;195(6):765-7.
 Johnston S.A., Lancaster R.L., Hubbard R.P., Probst C.W. A biomechanical comparison of 7-hole 3.5 mm broad and 5-hole 4.5 mm narrow dynamic compression plates. Vet Surg. 1991 Jul-Aug;20(4):235-9.
Stevenson S., Hohn R.B., Pohler O.E., Fetter A.W., Olmstead M.L., Wind A.P. Fracture-associated sarcoma in the dog. J Am Vet Med Assoc. 1982 May 15;180(10):1189-96.
Perren S.M., Linke B., Schwieger K., Wahl D., Schneider E. Aspects of internal fixation of fractures in porotic bone. Principles, technologies and procedures using locked plate screws. Acta Chir Orthop Traumatol Cech. 2005;72(2):89-97.
*El trabajo fue originalmente publicado por la Revista Argos.
Temas relacionados:
Autores:
Fernando Díaz Santiago
Clínica Veterinaria Fauna (España)
Recomendar
Comentar
Compartir
Valeria machado
27 de febrero de 2025
Hola, a mí. Perra la operaron por una fractura de tibia le colocaron un implante que sobrepasa la rodilla, es normal utilizar uno tan largo?
Recomendar
Responder
Belem Salinas
17 de febrero de 2025
Mi perrita quincy se quebró su rodilla izquierda hace dos años y la operaron y no quedó bien y la volvieron a operar y quedó bien, hace dos meses se quebró la otra rodilla igual que la primera vez y se le rompieron los ligamentos la volvieron a operar y no quedo bien en esta última operación pagué 3500 dólares y el cirujano me dijo que la van a operar otra vez
Recomendar
Responder
Jamal Crespi
24 de noviembre de 2024
Ay que lastima, tendrás que seguir las indicaciones del veterinario
Recomendar
Responder
Marlis del Carmen
15 de octubre de 2024
Hola tengo una perrita de 1 año y medio la atropelló un carro se le fracturó la cadera, la operaron y le colocaron placa de titanio. A los 3 dias de operada la herida empezó a botar aguita el dr le dreno, pero la herida se puso cada dia peor. Se puso negra. Parecía que iba sanando pero fue cada día peor. Se le formó una costra negra, se le abrió un hueco gigante se le ven lps músculos y los huesos. Ayer la sedaron le cortaron la costra negra y le quedó un hueco abierto. La placa se le cayó quedo agarrado de un alambre que le habían colocado. No sé que hacer estoy desesperada . Ahora tiene la herida tapada y vendada. Que puedo hacer??
Recomendar
Responder
Jamal Crespi
24 de julio de 2024
Probó con el cissus de Mascosana? es magico, muy curativo.
Recomendar
Responder
Paula Romero
5 de abril de 2024
Hola tengo una consulta, mi perrita de 7 años fue operada el año pasado en el mes de junio por una ruptura de ligamento cruzado en su pata derecha trasera le pusieron platino (cirugía TPLO) la recuperacion fue exitosa. Hace una semana ella sube escaleras y la pata donde fue operada le cruje pero ella no se queja de dolor ni nada fuimos al veterinario para hacerle una radiografía y no se pudo por qué en los exámenes de sangre que le hacen para anestesiarla sale con hígado graso y no se si por eso tambien este tomando tanta agua y haciendo chichi dónde sea.
Recomendar
Responder
Johana Bones
29 de agosto de 2023
Mi perrita fue operada por una fractura de fémur pues la atropellaron las dos primeras semanas me dijo el veterinario que estaba bien , pero en esta semana le note que el clavo había descendido hasta salir la punta por su rodilla y se lo saco el Dr, no entiendo porque pasó eso , se supone que debía estar atornillado, no se que hacer le noto inflamada y simplemente me dicen que se debe haber rodado las gradas, pero allá pasa dentro de casa que es una planta
Recomendar
Responder
Evelin  yndriago
23 de mayo de 2023
Buenas días mi perrito es criollo tengo un año con el , hace 8 días se cayó y se ftáctico el peroné. Aquí en casa le dimos los primeros auxilios colocándole un entablillado con reglas y venda , pero el en las noches camina mucho y se le bajo el vendaje . Pero el no llora de dolor . Sera que ese hueso puede soldar así como esta o es necesario volver hacer el vendaje. Yo quisiera una curuguayo pero no tengo el dinero para hacerlo .
Recomendar
Responder
Yury Vanessa Camacho Moya
10 de mayo de 2023
Hola, hace 2 meses opere a mi gata de fractura de fémur hace un mes le quitaron el tornillo peor hace como una semana estaba empezando a cogiar al día de hoy ya no apoya la pata que habrá pasado? Será que se le daño la cirugía ? No se qué hacer el veterinario es muy caro :(
Recomendar
Responder
Stephany
19 de febrero de 2023
Hola, qué tal tengo a mi cachorro qué hace 4semanas a sido operado por la fractura de sus dos patas delanteras, tiene clavos hace poco tiene inchado las dos patitas y drena nucho líquido.
Recomendar
Responder
Profile picture
¿Quieres comentar sobre otro tema? Crea una nueva publicación para dialogar con expertos de la comunidad.
Usuarios destacados en Mascotas
Dra. Sofia Cerda Gonzalez
Dra. Sofia Cerda Gonzalez
Cornell University
Cornell University
Médico Veterinario
Estados Unidos de América
Rudolf Schaich
Rudolf Schaich
Estados Unidos de América
Juan Carlos Carbone
Juan Carlos Carbone
Italcol
Dirección Materias Primas
Colombia