Engormix
Inicio
Buscar
Explorar
Publicar
Iniciar sesión
Explorar
Comunidades en español
Agricultura
Balanceados - Piensos
Avicultura
Ganadería
Lechería
Micotoxinas
Porcicultura
Mascotas
Comunidades en inglés
Aquaculture
Mycotoxins
Poultry Industry
Pig Industry
Dairy Cattle
Animal Feed
Comunidades en portugués
Micotoxinas
Avicultura
Suinocultura
Pecuária de corte
Pecuária de leite
Anunciar en Engormix
Inicio
Publicar
Buscar
Engormix.com
/
Mascotas
/
Cardiologia veterinaria
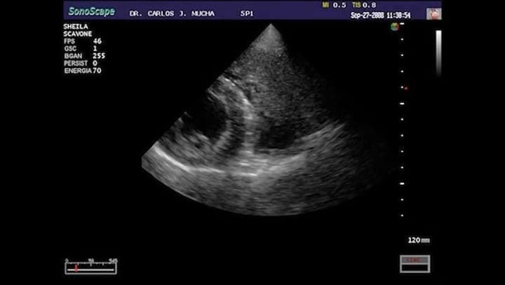
Arritmia en un canino
Publicado:
31 de julio de 2014
Arritmia en un canino , bloqueo auriculoventricular de tercer grado. *El vídeo fue originalmente publicado en el sitio Cardiologia Veterinaria: www.cardiologiaveterinaria.com
Temas relacionados:
#
Cardiologia veterinaria
#
Cardiopatias en mascotas
#
Arritmia en caninos
Continuar leyendo
Autores:
Aicardo Aristizábal Rivera
Universidad de Caldas - Colombia
Seguir
0
Recomendaciones
1
Comentarios
·
266
Visualizaciones
Recomendar
Comentar
Compartir
Luis F. Pérez Fernández
Universidad de Extremadura - España
14 de agosto de 2014
El video que muestran no se trata exactamente de una arritmia, es un bloqueo auriculoventricular de 3º grado con escape ventricular
Recomendar
Responder
1
Comentar
¿Quieres comentar sobre otro tema? Crea una nueva publicación para dialogar con expertos de la comunidad.
Crear una publicación
Enlace recomendado
FIGAP - Exposición Internacional
FIGAP - Exposición Internacional
FIGAP es la Exposición Mexicana de caracter Internacional vinculada a la industria de alimentos balanceados, salud, nutrición y genética en producción anima
Más contenidos de Mascotas
Cardiomiopatia Hipertrofica Felina Simetrica.
Rabdomiosarcoma infiltrativo en Ventriculo Derecho en un canino
Enfermedad mitral crónica. Complicaciones. diagnóstico terapéutica (parte I)
Usuarios destacados en Mascotas
Dra. Sofia Cerda Gonzalez
Cornell University
Médico Veterinario
Estados Unidos de América
Seguir
Rudolf Schaich
Estados Unidos de América
Seguir
Juan Carlos Carbone
Italcol
Dirección Materias Primas
Colombia
Seguir
Mostrar más