Explorar

Anunciar en Engormix

Anomalía de Ebstein en 3 caninos, primer reporte en Argentina

Publicado: 26 de septiembre de 2014
Fuente: Belerenian, G *1; Iriart, G 1; Pucheta, C 1; Lameroli, H 2; Castillo, V 3; Mucha, C 4
La anomalía de Ebstein es una malformación de la válvula tricúspide donde ésta se encuentra deformada e implantada cerca del ápex del ventrículo derecho provocando que parte de ésta cámara se atrialice. La malformación produce una combinación de estenosis e insuficiencia valvular tricuspídea. Se presentan 3 caninos, 2 ovejeros alemanes y un fox terrier, las edades son de 2 a 8 meses, todos machos. Los 3 presentaron un soplo 6/6 en foco tricuspídeo de regurgitación con frémito. El fox terrier presentó un soplo 3/6 diastólico de estenosis tricuspídea asociada. Los 2 ovejeros tenían signos y síntomas de falla congestiva derecha (cardiomegalia derecha, dilatación de las venas suprahepáticas, intolerancia al ejercicio). El fox terrier se hallaba asintomático. En un ovejero y en el fox terrier se observó un patrón de sobrecarga atrioventricular derecha en el ECG. En el examen ecocardiográfico bidimensional y doppler color los caninos presentaron regurgitación Tricuspídea severa (velocidad del flujo regurgitante mayor a 5 m/seg.) ; dilatación atrioventricular derecha, alteración de la anatomía de la válvula tricúspide (implantación baja, cuerdas tendinosas cortas, prolapso de valvas, valvas hiperecoicas) y en el caso del fox terrier se observó una restricción de la apertura con severa estenosis. En los dos ovejeros se indicaron vasodilatadores (enalapril) y diuréticos a dosis standard, en el foxterrier sólo se indicaron vasodilatadores (enalapril). Un ovejero murió al poco tiempo de instaurado el tratamiento y se realizó la necropsia, observándose una válvula tricúspide con implantación baja vertical con gran restricción de la apertura y fibrosis moderada de las valvas con engrosamiento de las mismas y de las cuerdas tendinosas, el ventrículo derecho verdadero presentaba una Cámara de eyección pequeña y con megaatrio derecho (atrialización del ventrículo derecho). En el momento de escribir este reporte el foxterrier se encuentra vivo y asintomático. Es importante la distinción entre la anomalía de Ebstein y la displasia tricuspídea ya que en caso de decidir la resolución quirúrgica en el caso del Ebstein se debe plicar el ventrículo derecho atrializado además de realizar la plastia externa tricuspídea, la cual sería técnica a utilizar en el caso de la displasia tricuspídea.
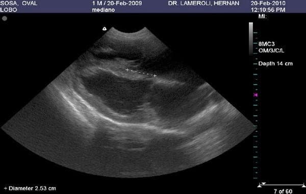
Anomalía de Ebstein en 3 caninos, primer reporte en Argentina - Image 1
Insuficiencia Tricúspide
Anomalía de Ebstein en 3 caninos, primer reporte en Argentina - Image 2
Estenosis Tricúspide
Anomalía de Ebstein en 3 caninos, primer reporte en Argentina - Image 3
Doppler mostrando insuficiencia tricúspide
Anomalía de Ebstein en 3 caninos, primer reporte en Argentina - Image 4
Hipertrofia del VD y engrosamiento Válvula Tricúspide
Anomalía de Ebstein en 3 caninos, primer reporte en Argentina - Image 5
Implantación baja de la Válvula Tricúspide
Anomalía de Ebstein en 3 caninos, primer reporte en Argentina - Image 6
Bisturí en surco AV, baja implantación de la Válvula Tricúspide
***El trabajo fue originalmente publicado en el sitio Cardiología Veterinaria:
www.cardiologiaveterinaria.com
Temas relacionados:
Autores:
Dr. Guillermo Belerenian
Grupo de cardiología clínica y cirugía cardiovascular de Buenos Aires
Carlos J. Mucha
Universidad Nacional de La Plata - UNLP
Universidad Nacional de La Plata - UNLP
Recomendar
Comentar
Compartir
Profile picture
¿Quieres comentar sobre otro tema? Crea una nueva publicación para dialogar con expertos de la comunidad.
Usuarios destacados en Mascotas
Dra. Sofia Cerda Gonzalez
Dra. Sofia Cerda Gonzalez
Cornell University
Cornell University
Médico Veterinario
Estados Unidos de América
Rudolf Schaich
Rudolf Schaich
Estados Unidos de América
Juan Carlos Carbone
Juan Carlos Carbone
Italcol
Dirección Materias Primas
Colombia