Explorar

Anunciar en Engormix

Enfermedad de Gumboro: depleción linfoide y lesiones atróficas, pueden ser inducidas por las vacunas?

Publicado: 2 de noviembre de 2015
Fuente: Bernardo Mejía Arango. M.V.Z. M.Sc. Colombia
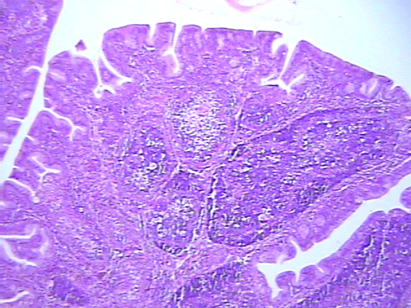
Imagen No 1. Folículo linfoide normal de un pollo de engorde de 31 días de edad (hematoxilina-Eosina, 40X)
Enfermedad de Gumboro: depleción linfoide y lesiones atróficas, pueden ser inducidas por las vacunas? - Image 1
 
En el XXI Congreso Latinoamericano de Avicultura celebrado en La Habana en 2009, el doctor Pedro Villegas hizo un resumen acerca de cómo ha variado la enfermedad de Gumboro y por ende el virus causante, desde que la enfermedad fue diagnosticada en Gumboro, Delaware, en 1962.
De acuerdo con lo que dijo el Dr. Villegas en 2009, estábamos trabajando desde la década de 1970 con la enfermedad de Gumboro y esta había cambiado sustancialmente desde que se se presentó en los años 70´s. Y analizando las declaraciones del Dr. Villegas la enfermedad y por ende el virus han sufrido cambios: desapareció la forma de presentación inicial muy virulenta durante dos décadas aproximadamente; y desde hace 10 o 15 años reapareció la forma muy patógena de la enfermedad a la que hoy llamamos forma muy virulenta 
Y es que las observaciones del Dr. Villegas seguramente las hemos venido detectando quienes hemos venido trabajando en diagnóstico histopatológico: a comienzos de la década de 1990, eran frecuentes las lesiones de depleción linfoide y atrofia de los folículos, acompañadas estas lesiones por necrosis de los linfocitos en las áreas centrales o medulares de los folículos linfoides de la bolsa, con formación de cavidades quísticas conteniendo piocitos, detritus celulares y material proteínico amorfo.
En forma paulatina la frecuencia de estas lesiones fue desapareciendo y se comenzó a encontrar depleción linfoide y lesiones atróficas en diferentes grados pero con escasa o ninguna presentación de espacios quísticos como los descritos en el párrafo anterior. Al menos eso es lo que he detectado en el área donde trabajo, el Valle del Cauca en la zona sur occidental de Colombia. Aunque tengo reportes de diagnósticos de casos de enfermedad de Gumboro en esta región, atribuíbles a virus muy virulento, la verdad es que en esta zona nunca he visto las bolsas con hemorragias severas como se publican en diferentes artículos.
El asunto que nos preocupa hoy día a quienes trabajamos en diagnostico histopatológico, es que las vacunas contra la enfermedad de Gumboro, al menos algunas de ellas, pueden lesionar la bolsa de Fabricio, lo cual ha sido admitido hoy día por los investigadores en el tema, un poco adelante haré una referencia sobre el tema.
Cómo puede afectar un vacuna (De las que lesiona la bolsa de Fabricio) a la salud de las aves? Creo que está por demostrarse. Para desarrollar el tema, debo aclarar que en enero de 2012 se publicaron en este mismo blog tres artículos sobre la enfermedad de Gumboro, uno de ellos relacionado con el diagnóstico histopatológico.
Enfermedad de Gumboro: depleción linfoide y lesiones atróficas, pueden ser inducidas por las vacunas? - Image 2
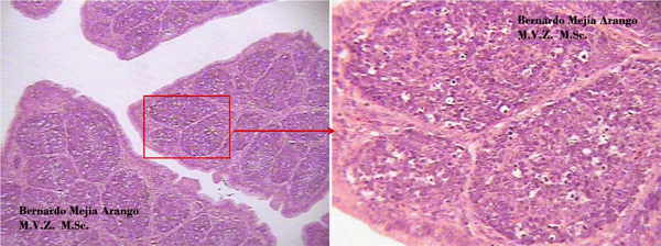
Imagen No. 2 Bolsa de Fabricio de un pollito de engorde de 7 días de edad. A edades tan tempranas como a los 7 días, los cortes histológicos de bolsa de Fabricio muestran folículos no muy densamente poblados en relación con las imágenes de bolsas de aves de mayor edad, parecería como si estuvieran depléticos cuando en realidad no lo están. En la fotografía de la derecha se observan algunos "puntos negros" que podrían corresponder a linfocitos en proceso de picnosis. Este podría ser un efecto de virus vacunal ya que la replicación del virus de vacunas a virus vivo pueden producir este efecto
Encontré un artículo publicado en 2007 en la Revista Zootecnia Tropical 25(2):129-134, en el cual se hace un estudio comparativo de tres cepas vacunales del virus causante de la enfermedad de la bursa en pollos de engorde. Los investigadores compararon el efecto sobre la bolsa de tres cepas vacunales: suave, intermedia e intermedia plus y encontraron que de estas, la cepa intermedia plus produjo lesiones en la bolsa. http://www.sian.inia.gob.ve/repositorio/revistas_ci/ZootecniaTropical/zt2502/arti/saume.htm
Antes de que se reconociera que algunas vacunas contra la enfermedad de Gumboro pueden lesionar la bolsa, ya se conocían los efectos sobre la morfología de los virus de campo. Parece que los mismos virus vacunales obtenidos partir de aislados de campo producen lesiones similares en la bolsa de Fabricio que los mismos virus de campo. Muchos de los artículos, libros y en general publicaciones, no hacen énfasis en el diagnóstico histopatológico, es por eso que es bueno saber que dice cada quien sobre las lesiones de virus de campo para entender luego lo descrito en lesiones inducidas por algunas de las vacunas.
Merck Animal Health tiene una página web dedicada solo a la enfermedad de Gumboro. Allí se clasifica la enfermedad en aguda clínica y en subclínica. En la forma aguda clínica describe los cambios macroscópicos. En relación con las cepas del virus causantes de esta forma afirma:
  1. Que las cepas variantes no causan una reacción inflamatoria severa y se caracterizan por causar atrofia severa de la bolsa y mortalidad por debajo del 5%.
  2. Que las cepas muy virulentas causan además de lesiones en la bolsa de Fabricio, lesiones severas en otros órganos linfoides como el timo, las tonsilas cecales y el bazo.
En la infección subclínica, la enfermedad se caracteriza por atrofia de la bolsa e inmunosupresión con la consecuente presentación de enfermedades secundarias al proceso de "inmunodepresión".

NOTA: En la actualidad la tendencia es a usar el término INMUDEPRESIÓN en lugar de inmunosupresión. Las razones expuestas por un grupo de investigadores y publicado en un suplemento especial sobre la enfermedad de Gumboro de la revista World Poultry consisten en que el término inmunosupresión es absoluto en el sentido de que no admite grados (Al estar un ave inmunosuprimida quiere decir que su sistema inmune está abolido o "suprimido", lo cual no es compatible con la vida)

 
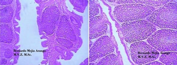
Enfermedad de Gumboro: depleción linfoide y lesiones atróficas, pueden ser inducidas por las vacunas? - Image 3
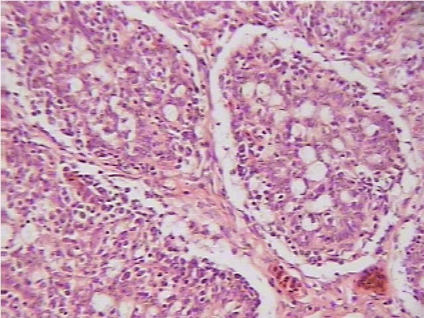
Imagen No. 3 Dos folículos linfoides de bolsas de Fabricio (Hematoxilina-Eosina 40 X) de dos pollos de 31 días de edad, una normal (Izquierda) y una depletica +++ (Derecha). Los grados de depleción se califican en un forma subjetiva (La que depende de la experiencia) en diferentes escalas de acuerdo con el patólogo. La escala de +, ++, +++ y ++++ es común en Colombia, al menos en el Valle del Cauca. Pude haber otras escalas, creo que hay una que va de 1 a 7.
Al finalizar el artículo trata el tema del diagnóstico y menciona la historia, la serología y el aislamiento viral, pero no menciona a la histopatología como herramienta diagnóstica
En el Manual de Animales Terrestres de la OIE (2004) menciona las diferentes técnicas de diagnóstico pero hace relación a identificación del agente y a técnicas serológicas.
En el Portal Veterinario Albeitar 2014 hay un muy buen artículo sobre la enfermedad de Gumboro. Allí hablan de dos formas de presentación de la enfermedad: clínica y subclínica. De la forma clínica dice que afecta principalmente aves de 3 a 6 semanas de vida y cursa con diarrea acuosa y blanquecina, picoteo de la cloaca, anorexia, depresión, temblores, plumas erizadas, postración, deshidratación y muerte. Dice igualmente que la susceptibilidad a la enfermedad comienza a disminuir entre l semana 6 ala 8 y que hacia la semana 16 las aves son prácticamente refractarias a él. 
Este último concepto va en contravía con alguna escuela actual que dice que las aves adultas pueden resultar afectadas por el virus de la enfermedad de Gumboro.
Enfermedad de Gumboro: depleción linfoide y lesiones atróficas, pueden ser inducidas por las vacunas? - Image 4
Imagen No. 4. Corte de bolsa de Fabricio (Hematoxilina-Eosina 10X y 40X respectivamente) de un pollita de levante para postura de 10 semanas de edad. La involución de la bolsa y por tanto los cambios de depleción linfoide y atrofia fisiológicos aumentan a medida que se acerca la madurez sexual. Tanto en procesos infecciosos como en el proceso fisiológico de involución de la bolsa de Fabricio, la depleción linfoide puede no ser uniforme en relación con los folículos que componen una folia.
En el mismo Portal se describe igualmente una forma subclínica en aves menores de tres semanas. Las aves afectadas no muestras sintomatología clínica, sin embargo la consecuencia más importante es una atrofia de la bolsa con un cuadro de inmunodepresión, lo que es directamente proporcionl con la edad temprana de las aves, es decir entre más joven el ave, más severa es la inmunodepresión.
Nuestra hipótesis tiene algo que ver con esto: creemos que algunas vacunas pueden lesionar la bolsa de Fabricio, pues el virus vacunal se reproduce en los linfocitos, matándolos, lo que finalmente produce depleción linfoide y lesiones atróficas; creemos que esto conduce a un estado de inmunodepresión y que ello es lo que causa que aves cada vez más jóvenes tengan problemas sanitarios como el de "cabeza hinchada".
En el artículo del Portal veterinario Albeitar se le da importancia al diagnóstico histoptológico al mencionarlo como una de las técnicas para ello. Le da igualmente importancia al aspecto macroscópico y desde luego a las técnicas serológicas y de deteccción molecular tan popularizadas hoy día. 
La mayoría de las revisiones sobre la enfermedad se centran en los aspectos macroscópicos y clínicos de la misma. En el siguiente enlace, por ejemplo, CEVA y específicamente el doctor Ivan Dinev DVM Ph.D., hace una muy buena presentación de la enfermedad en dichos términos: la clínica y las lesiones.
Enfermedad de Gumboro: depleción linfoide y lesiones atróficas, pueden ser inducidas por las vacunas? - Image 5
Imagen No. 5. Fotografía de la izquierda (Hematoxilina-Eosina, 10X): bolsa de Fabricio de una pollona de 18 semanas de edad en la que permanecen algunos folículos intactos. La involución fisiológica no es uniforme en relación con los los folículos que componen una folia. Igualmente la involución fisiológica no es uniforme en todas las aves de un lote en las mismas condiciones de manejo. La imagen de la derecha (Hematoxilina-Eosina, 40X) corresponde a una bolsa de Fabricio de una polla del mismo lote que la polla a la que corresponde la imagen de la izquierda, 18 semanas. Así que hay excepciones a la regla de que la involución tiene que ver con la madurez sexual.
La mayoría de las entidades de los diferentes países que tiene que ver con la sanidad animal, tienen páginas web donde se encuentra lo relacionado con las enfermedades de las especies comerciales y específicamente de las aves. La SAG del Ministerio de Agricultura del Gobierno de Chile tiene una muy buena ficha sobre la enfermedad de Gumboro
En dicha ficha y tratando el tema del diagnóstico de la enfermedad de Gumboro se cita lo siguiente en cuanto al diagnóstico: "Pruebas diagnósticas: aislamiento viral, detección de anticuerpos fluorescentes en tejidos, inmunohistoquímica. ELISA, seroneutralización, PCR". La histopatología no aparece por ningún lado.
A raíz de que la hipótesis que se tiene es que algunas vacunas pueden lesionar la bolsa, se revisó la información al respecto.
Al respecto, el doctor Alejandro Banda, del Laboratorio de Investigaciones y Diagnóstico en Avicultura del Colegio de Medicina Veterinaria de la Universidad Estatal de Mississippi tiene una muy buena publicación sobre vacunas y vacunaciones contra la enfermedad de Gumboro  
Enfermedad de Gumboro: depleción linfoide y lesiones atróficas, pueden ser inducidas por las vacunas? - Image 6
Imagen No 6. La secuencia fotográfica muestra el aspecto de los remanentes de una bolsa de Fabricio en una ave ponedora de 38 semanas de edad. Prácticamente lo que quedan son las estructuras de soporte del tejido linfoide.
Los siguientes son tips tomados de dicho artículo:
  1. El virus de Gumboro tiene dos serotipos denominados 1 y 2 de los cuales el 1 es el que tiene importancia clínica
  2. Del serotipo 1 existen dos grandes tipos de cepas: a) Las estándar o clásicas que fueron las primeras en ser identificadas y de las que actualmente se ha determinado que tienen diferentes grados de patogenicidad: baja, intermedia, alta y muy virulentas b) Las variantes antigénicas se denominan así porque hubo cambios en las características inmunogénicas de los virus y que son altamente inmunodepresoras (Es importante denotar que le doctor Banda utiliza el término "inmunodepresoras" y no "inmunosupresoras", lo que está de acuerdo con lo que hemos venido predicando: el término inmunosupresión está mal aplicado, por las razones que anotamos arriba en un aparte de este artículo). c) Existen otros subtipos del serotipo los cuales genéticamente no entran en las categorías de de clásicas o de variantes antigénicas.
  3. El doctor Banda afirma que existen dos presentaciones clínicas
  • La forma Delaware, que incluye la forma inducida por cepas clásicas suaves, la infección ocurre en general en las primeras dos semanas, con infección subclínica, atrofia de la bolsa y cuadros de inmunodepresión. Pueden infectar aves cundo todavía tienen buenos niveles de anticuerpos contra las cepas estándar. En algunas circunstancias no producen inflamación al menos no tan severa como la infección con cepas clásicas; se genera necrosis y apoptosis con destrucción de linfocitos con atrofia de la bolsa como consecuencia y con una posterior inmunodepresión
  • La forma por infección con virus clásicos virulentos y muy virulentos. Se presenta en aves de 4 a 5 semanas; en aves con los signos clínicos, con lesiones hemorrágicas y con infección activa de la bolsa de Fabricio, puede haber alta mortalidad. Estas cepas pueden inducir la enfermedad clínica o subclínica, leve o severa. 
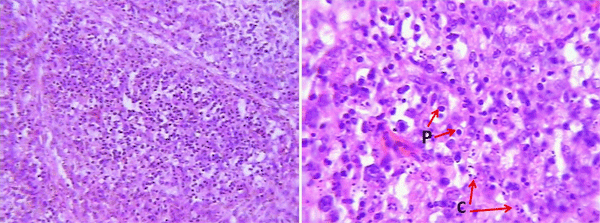
Enfermedad de Gumboro: depleción linfoide y lesiones atróficas, pueden ser inducidas por las vacunas? - Image 7
Imagen No 7. A la izquierda se aprecia un folículo linfoide de un pollo de engorde de 25 días de edad (Hematoxilina-Eosina, 40X). En la fotogrfía de la derecha (Hematoxilina-Eosina 100X) un detalle en el que se aprecian y están señalados con flechas rojas, los estados de picnosis (P) y cariorrexis (C) de los lnfocitos. En este estadío, no es posible atribuir el efecto a la acción de un virus vacunal o a un virus infectivo de campo; es por ello que los reportes de histoptología indican que hay un estado de depleción linfoide (generalmente acompañado de atrofia). En estos casos es de mucha ayuda realizar pruebas complementarias, específicamente pruebas de biología molecular con secuenciación para establecer si allí está presente un virus vacunal o de un virus de campo
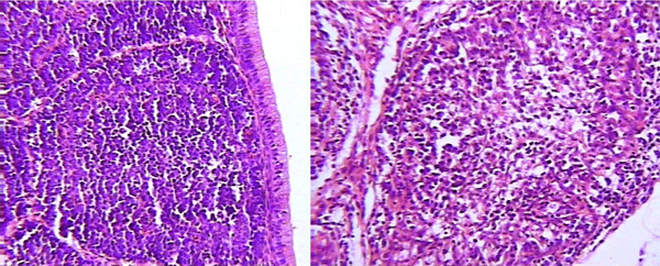
Enfermedad de Gumboro: depleción linfoide y lesiones atróficas, pueden ser inducidas por las vacunas? - Image 8
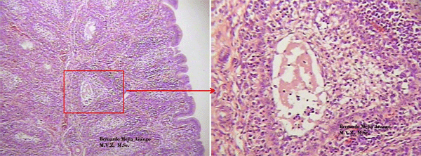
Imagen No 8 Cortes (Coloreados con Hematoxilina Eosina, 10X y 40X respectivamente) de bolsa de Fabricio de un pollo de 25 días de edad. Obsérvese que la afección no es uniforme en los folículos que componen la folia, encontrándose unos más afectados que otros. La fotografía de la derecha contiene lo que se describe como una cavidad quística, esto permite un diagnóstico de enfermedad de Gumboro.
Los dos libros básicos guía en diagnóstico aviar son la Patología de Calnek (Diseases of Poultry) y el libro de Riddell (Avian Histopathology)
Qué dice el libro de Calneck sobre el diagnóstico histopatológico en relación con las lesiones de la bolsa:
  1. Sus reportes están basados en las investigaciones de autores quienes hicieron inoculaciones experimentales. Un día después de la infección se reporta degeneración y necrosis de linfocitos en el área medular de los folículos de la bolsa. Los linfocitos son sustituidos por neutrófilos, restos picnóticos y células reticuloendoteliales hiperplásicas.
  2. De cuerdo con lo que dice el libro, la infección de los folículos es gradual estando 3 a 4 días después de la infección, todos los folículos afectados.
  3. Se desarrollan cavidades quísticas en las zonas medulares de los folículos.
  4. se produce fibroplasia interfolicular.
  5. Otros órganos linfoides son afectados: bazo, timo, tonsilas cecales, glándula de Harder.
Enfermedad de Gumboro: depleción linfoide y lesiones atróficas, pueden ser inducidas por las vacunas? - Image 9
Imagen No. 9 Corte de bolsa de Fabricio de un pollo de 45 días. Obsérvese que en la folia los folículos que la componen tienen diferentes grados de depleción: en el corte de folia que se observa en la imagen hay al menos un folículo normal y los restantes tienen depleción linfoide (En unos es corticomedular y en otros solo medular) que van de + a ++++. (Hematoxilina-Eosina, 10X)
En el libro Avian Histopathology del Western College of Veterinary Medicine de la Universidad de Saskatchewan (Canada), editado por C, Riddell y publicado por la American Association of Avian Pathologists, en lo referente a las lesiones en la bolsa de Fabricio inducidas por el virus dela enfermedad de Gumboro dice lo siguiente (En cuanto a las lesiones, no en cuanto a la inmunodepresión):
  1. La infección con cepas variantes induce la muerte de los linfocitos B. Produce una respuesta inflamatoria con edema, heterófilos, congestión y hemorrgia.
  2. La infección con cepas variantes no produce inflamación que se asocia a tales cepas variantes. En el libro se dice que esta carencia de inflamación se debe a que las células B mueren por apoptosis y no por necrosis. Cuando la necrosis es antes de la semana 2, hay inmunosupresión permanente, la que no es tan marcada cuando la infección es entre la semana 2 y 3 (Se debe recordar que algunos autores no utilizan ahora el término inmunosupresión, Riddell aún lo usa en el libro).
  3. 24 a 36 horas post exposición con cepas virulentas estandar tipo 1 hay necrosis de linfocitos, se observa picnosis y cariorrexis en los linfocitos de la bolsa. Hay proliferción de macrófagos, algo de infiltración con heterófilos y presencia de céluls plasmáticas. A las 48 horas no hay linfocitos visibles. La destrucción de linfocitos es seguida por edema y hemorragia. Posteriormente las áreas centrales de los folículos están completamente necróticas, se forman cavidades quísticas, hay fibroplasia y plegamiento del epitelio que bordea a las folias.
  4. En las lesiones descritas por Riddell, se menciona que 71 días post infección se produce una repoblación de la poblalción linfoide de la bolsa. Al igual que la afección de los folículos no es uniforme, la repoblación igualmente no es uniforme.
Enfermedad de Gumboro: depleción linfoide y lesiones atróficas, pueden ser inducidas por las vacunas? - Image 10
Imagen No.10. Corte de folia de una bolsa de Fabricio de un pollo de engorde de 48 días de edad, con depleción linfoide y lesiones atróficas ++++ en una escala de + a ++++. (Hematoxilina-Eosina 10X) 
Las preguntas que surge cuando se leen las descripciones de las lesiones de la bolsa, bien sea por infecciones de campo o por virus vacunales:
  1. Los virus vacunales producen la mismas lesiones y con la misma cronología que los virus infectivos de campo?
  2. Pueden los virus vacunales que afectan la bolsa de Fabricio producir la muerte de los linfocitos por apoptosis siendo esta la causa de ausencia de inflamación que se observa en las bolsas afectadas por depleción linfoide y atrofia en diferentes grados?
Cuando se tienen casos con lesiones características, hacer el diagnóstico histopatológico es fácil. Lo que complica y en cierta manera hace imposible el diagnóstico histopatológico (A menos que se utilicen pruebas complementarias) de la enfermedad de Gumboro actualmente es que no es posible identificar en cortes de bolsa de Fabricio coloreados con Hematoxilina-Eosina, cuándo las lesiones de depleción linfoide y atrofia son por virus infectivo de campo y cuando son inducidos por virus vacunales.
Quizá el mejor y más claro trabajo de recopilación sobre la enfermedad de Gumboro fue hecho y publicado en 2014 en una separata de World Poultry denominada: "Gumboro Disease, Special. The rational use of vaccines and vaccinations for real control of Gumboro disease". La publicación está hecha en colaboración con CEVA Santé Animale S.A. France y contribuyeron como autores Yannick Gardin, Vilmos Palya, Marcelo Paniago, Christophe Cazaban, Branko Alba, Fernando Lozano, John El Attrache, de Ceva Animal Health. Más adelante presentaré algunos items extraídos de esta separata. 
El doctor Juan Carlos Valladares, Médico Veterinario Zootecnista, Maestro en Ciencias en Microbiología  presentó en la tercera reunión de la Asociación de Especialistas en Ciencias Avícolas del Centro de México en marzo de 2010, un trabajo titulado  "Experiencias prácticas en el diagnóstico de la bolsa de Fabricio".
 
Es un  excelente trabajo sobre la infección de la bolsa con el virus de Gumboro en el cual se contemplan los aspectos teóricos sobre el agente etiológico y sobre los aspectos clínicos de la enfermedad. Es un trabajo interesante en el que mediante estudios histopatológicos, se desarrolló un sistema de evaluación de las lesiones microscópicas de la bolsa basado en cuatro criterios:
  1. Tipo y curso de la lesión: afectación de la densidad celular, daño de la integridad del tejido linfoide, inflamación del tejido de la bolsa.
  2. Distribución de la lesión: focal, multifocal,  extensiva o difusa.
Creo que es un trabajo muy objetivo que permite una cuantificación de las lesiones y es el primer trabajo que veo  el cual organiza en forma adecuada el aspecto morfológico de las bolsas evaluadas de tal manera que le da a la evaluación histopatológica la importancia que se merece.
 
Es bueno aclarar que el Dr. Valladares advierte que:
  • Las lesiones de la bolsa no son exclusivas de las infección con el virus de la enfermedad infecciosa de la bolsa  (Nota del autor de este artículo: en este sentido, creo que  cuando se  considera que las lesiones son inducidas por el virus de la enfermedad de Gumboro, se debe demostrar su presencia mediante pruebas de biología molecular)
  • Las lesiones son bastante características, predecibles y tienen un alto grado de correlación  con los patotipos del virus.
  • La intensidad de las lesiones de la bolsa es un reflejo del grado de protección de las aves ante un desafío de campo.
  • Algunos investigadores han desarrollado sistemas semicuantitativos con escalas arbitrarias de evaluación del daño de la bolsa para hacer comparaciones entre  diversos casos, con criterios particulares de cada investigador. (Nota del autor: creo que esto es completamente cierto, los histopatólogos no usamos escalas definidas, con base en criterios cuantitativos de las lesiones)
  • Se evalúan 10 bolsas.
Vale  la pena revisar el artículo publicado por el doctor Valladares para observar la metodología utilizada para asignar un grado de daño de la bolsa.
 
Lo que no explica el trabajo del doctor Valladares  es lo siguiente: cuando el daño tisular en las   bolsas de Fabricio es inducido por virus vacunales (Lo cual es aceptado  en la actualidad), cómo hace para diferenciar mediante la escala de daño tisular, que  el virus actuante es vacunal y no virus de campo o viceversa? En lo personal creo que el trabajo debe ser complementado con estudios de biología molecular.
 
Enfermedad de Gumboro: depleción linfoide y lesiones atróficas, pueden ser inducidas por las vacunas? - Image 11
Imagen No. 11 corte de bolsa de Fabricio (Hematoxilina-Eosina 40X) de un pollo de engorde de 32 días de edad. Las aves de este lote recibieron vacunacion con virus cepa intermedia y todas las aves examinadas presentaron la misma imagen en los cortes histológicos de sus bolsas. Las aves examinadas hicieron parte se una serie de análisis en los cuales se hicieron impresiones de bolsas de Fabricio en tarjetas FTA. Al realizar la evaluación histopatológica, las bolsas en las que fuera evidente una depleción linfoide como la que se muestra en la imágen, las impresiones correspondientes se enviaron a diferentes laboratorios para pruebas de biología molelcular: en todas se evidenció virus vacunal.
En la separata de la revista World Poultry se describe el problema que representa la enfermedad de Gumboro, se hace una revisión hacia el pasado, se hace un recuento, se describe la enfermedad y las formas clínicas de la misma (Inmunodepresiva, clínica y subclínica), se presenta el impacto de la vacunación en la evolución de la situación de la enfermedad, se muestra el papel de los anticuerpos maternos frente a las vacunas y las vacunaciones, se describen los puntos claves para considerar en el control de la enfermedad, se describen los tipos de vacunas (Inactivadas, clásicas atenuadas, recombinantes y vacunas de complejos inmunes) y la dinámica de anticuerpos generada por las mismas.
De las formas clínicas de la enfermedad, la forma inmunodepresiva dice que es la consecuencia de la infección en la aves a edades inferiores tres semanas por cualquier forma patogénica del virus. Afirma además que en la forma inmunodepresiva se puede producir depleción extensa y persistente de los folículos linfoides, lo cual reduce drásticamente el tamaño de la bolsa. En la forma clínica solo describe el aspecto macroscópico (Edema y hemorragias) pero no especifica las lesiones microscópicas.
En la forma subclínica no describe las lesiones en la bolsa. En al artículo no encontré la descripción de lesiones con la formación de cavidades quísticas en las áreas medulares de los folículos, la que muchos artículos y autores atribuyen a la acción del virus muy virulento pero que las hemos venido observando desde hace más de tres décadas, cuando el virus muy virulento no se había reportado como tal, es decir el virus no había variado.
El asunto del diagnóstico se complica porque cuando en la separata de World Poultry se describen las vacunas (Inactivadas, clásicas atenuadas, recombinantes y de complejos inmunes), encontramos que las clásicas atenuadas son a base de virus vivo que se replica en los linfocitos de la bolsa con la consecuente destrucción de los mismos. Aunque se afirma que por ser aplicadas después de la semana de edad cuando la maduración del sistema inmune ha terminado y la migración de linfocitos a órganos linfoide ha terminado, no generan un efecto relevante sobre el sistema inmune, es nuestro concepto que el cuadro histológico de cortes coloreados con Hematoxilina-Eosina en el que se ven lesiones de depleción linfoide y atrofia de la bolsa en diferentes grados de afección, no pueden ser atribuibles a virus de campo o a la vacuna a menos que se utilicen pruebas complementarias en las que se puede identificar morfofilogeneticamente al virus actuante, bien sea de campo o vacunal.
En relación con la anterior, nuestras observaciones indica que algo está sucediendo en el sistema inmune de las aves, tanto en el pollo de engorde como en la cría y levante para ponedoras y reproductoras; específicamente el síndrome de cabeza hinchada se presenta cada vez a edades más tempranas. Tendría esto relación con las vacunas que inducen depleción linfoide y lesiones atróficas?
En teoría, las vacunas recombinantes en las que el gen del virus de la enfermedad de Gumboro que codifica para la proteína VP2 es insertada en el genoma del virus herpes de la enfermedad de Marek, no podrían ser responsables de depleción linfoide y lesiones atróficas de la bolsa ya que no hay replicación del virus de Gumboro en la bolsa.
No se puede decir lo mismo de las vacunas de complejos inmunes en los que el virus de Gumboro (del tipo intermedio plus) se mezclan con un antisuero de aves hiperinmunizadas contra el virus de Gumboro; es decir el virus está recubierto con inmunoglobulinas protectoras del virus, las que se catabolizan exponiendo el virus para que ejerza su acción: el virus vacunal se replica en la bolsa. El artículo no lo dice, pero si el virus se replica en la bolsa, tiene que lesionarla produciendo depleción linfoide y atrofia.
Es bueno decir que muestras de bolsas de Fabricio en tarjetas FTA, procedentes de aves de diferentes estados productivos, de edades entre 3 y 4 semanas y vacunadas con virus vivo atenuado fueron enviadas a diferentes laboratorios, aislándose el virus vacunal en ellas.
En resumen, se cree que al igual que lo hacen algunos virus de la enfermedad de Gumboro, algunos virus pueden lesionar al bolsa de Fabricio produciendo lesiones de depleción linfoide y de atrofia, las cuales no pueden ser diferenciables por histopatología en cortes coloreados con hematoxilina-Eosina. En los casos en que se haga el diagnóstico morfológico de depleción linfoide y lesiones atróficas en la bolsa de Fabricio, es necesario recurrir a técnicas de diagnóstico de biología molecular con secuenciación de marcadores moleculares.
 
Fotografías e imágenes:  Bernardo Mejía Arango, M.V.Z.  M.Sc.  Protegidas por derechos de autor. Su uso o reproducción requiere autorización previa.
Temas relacionados:
Autores:
Bernardo Mejía Arango
Recomendar
Comentar
Compartir
Ebrahim Babaahmady
Universidad de Ilam
Universidad de Ilam
30 de marzo de 2016
Saludos El articulo aporta bastante y es muy bueno.
Recomendar
Responder
Jairo Alfonso Londoño Londoño
Universal Avícola
17 de marzo de 2016
Muy buen articulo, relata muy bien los casos de campo de quienes trabajamos en la zona, en la actualidad se ha querido reemplazar el uso de vacunas inactivadas que han demostrado los buenos resultados de campo y evitando este tipo de reacciones, logicamente apoyados en un buen diseño de plan vacunal a base de virus vivo pero, pero que basados en un buen perfil serologicos deben ser programadas.
Recomendar
Responder
Ana Lucia Lopez
Ana Lucia Lopez
1 de abril de 2016
Excelente y completo articulo y las imágenes muy bien definidas, gran aporte
Recomendar
Responder
Juan Manuel Montoya Pardo
17 de marzo de 2016
Excelente articulo. Por esto es importante contemplar el uso de vacunas vectorizadas recombinantes de ultima generación, donde tan solo una fracción del virus de gumboro ( VP2 ) se replica junto con el virus de marek, sin afectar la bolsa y ofreciendo buena protección y contención de retos de campo.
Recomendar
Responder
Profile picture
¿Quieres comentar sobre otro tema? Crea una nueva publicación para dialogar con expertos de la comunidad.
Usuarios destacados en Avicultura
Lorena Ramos
Lorena Ramos
Cargill
Cargill
Nutricionista Senior en Cargill Protein, América Latina
Estados Unidos de América
Ana Maria Villegas-Gamble
Ana Maria Villegas-Gamble
Pilgrim´s
DVM, MS, Ph.D. / Directora de Nutrición
Estados Unidos de América
Jose Salazar
Jose Salazar
Grupo Nutec
Estados Unidos de América